| Code |
NameClick for More |
|
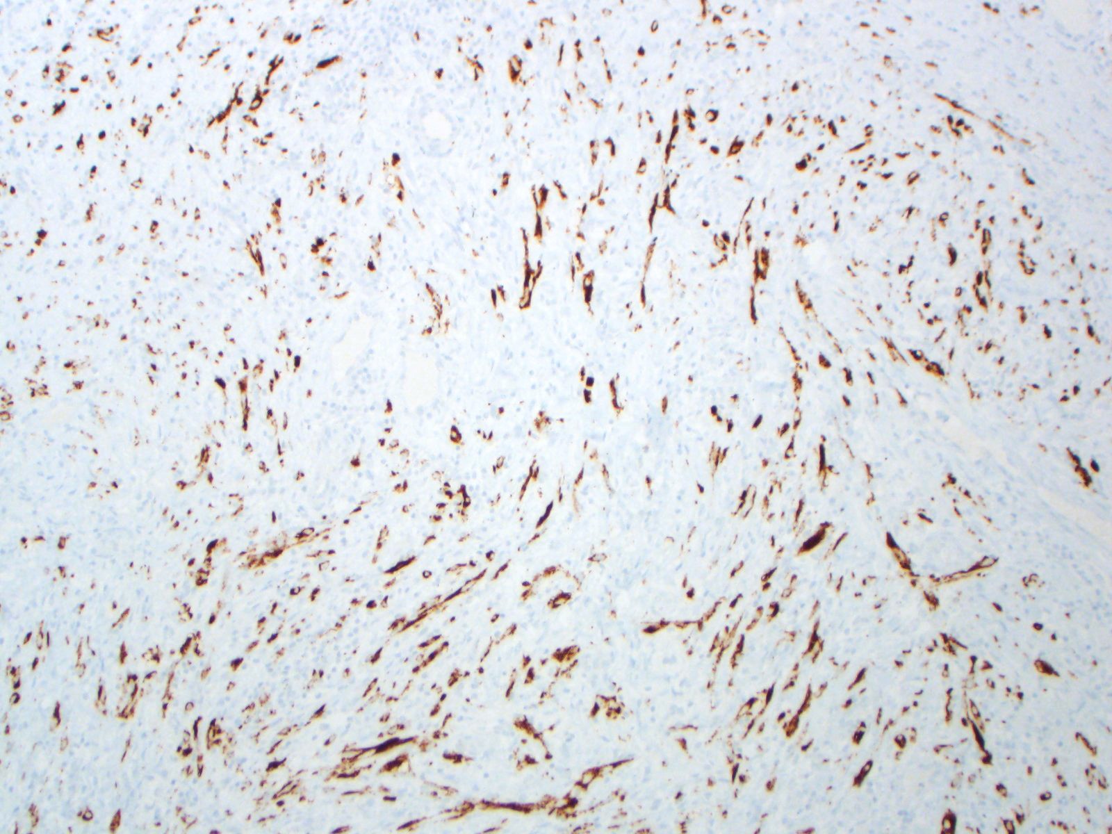
| 2SC |
S-(2-succino)-cysteine |
|
| Clone (Vendor) |
Positive In |
Negative In |
|
Rabbit polyclonal (Cambridge Research Biochemicals)
Open Datasheet
|
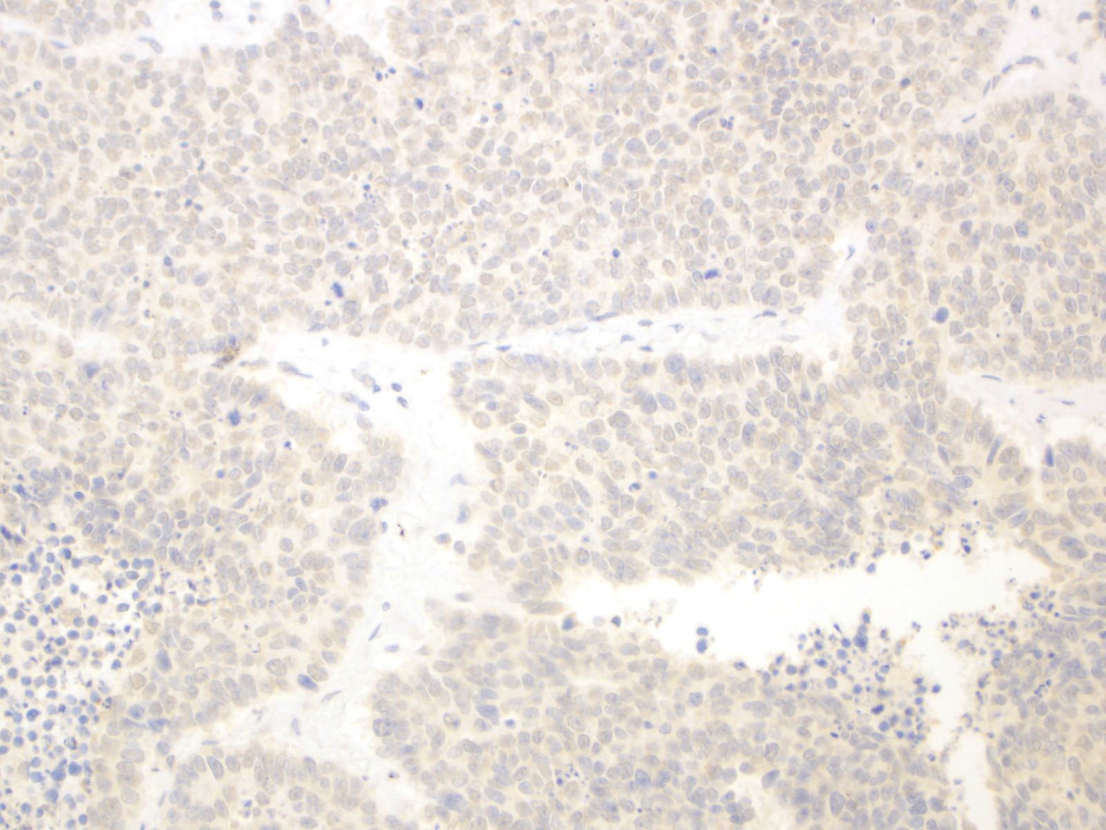
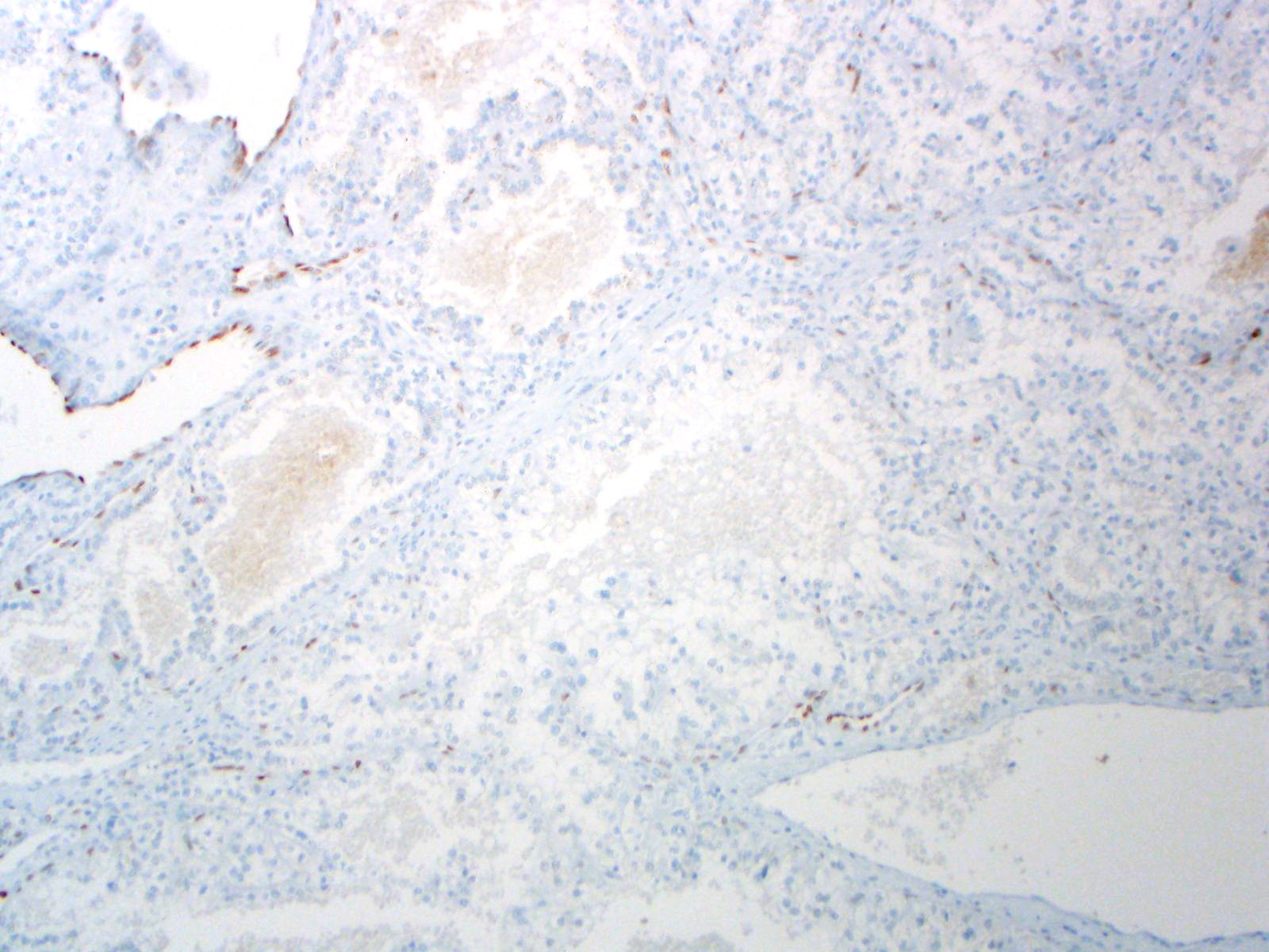
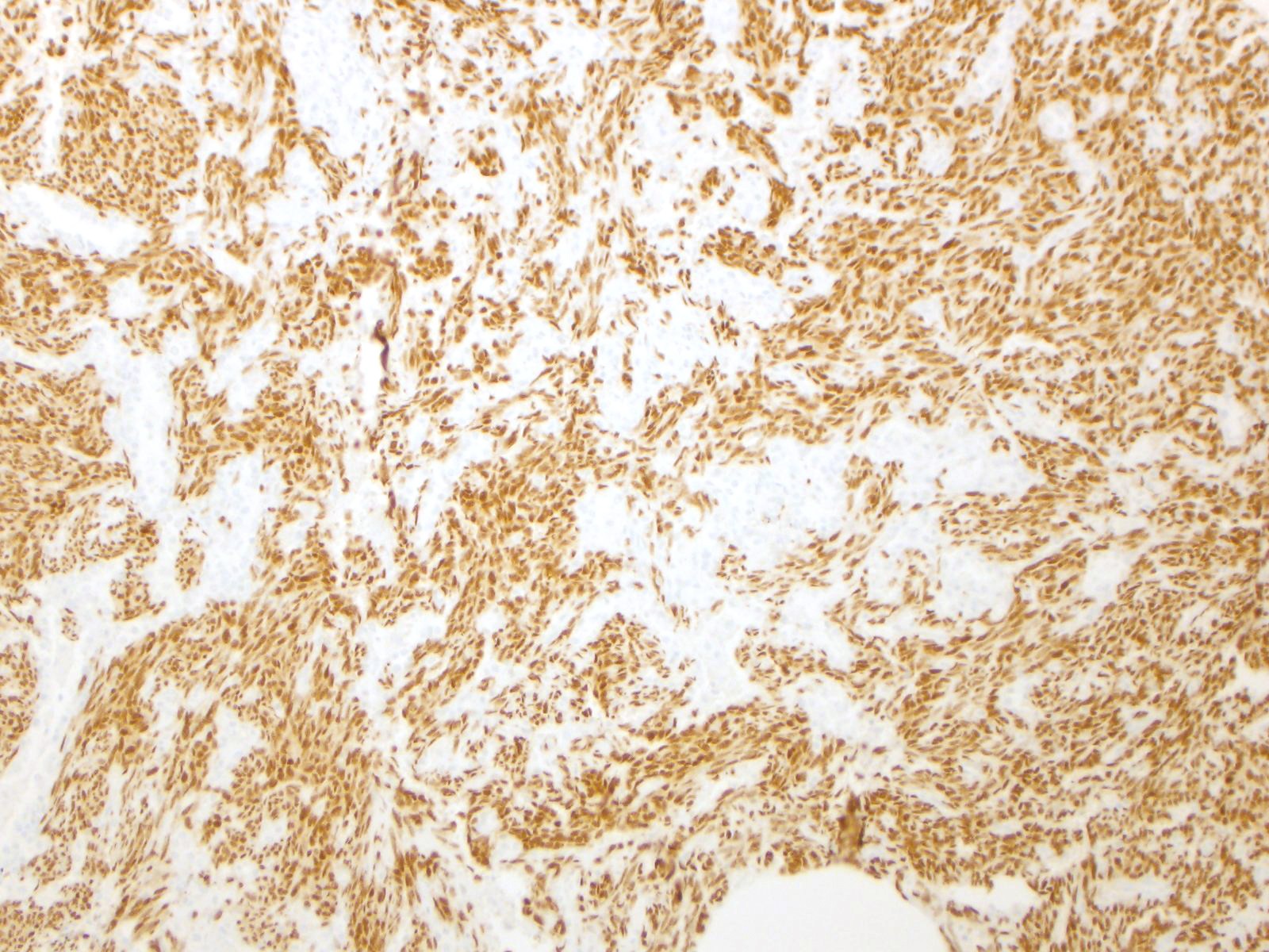
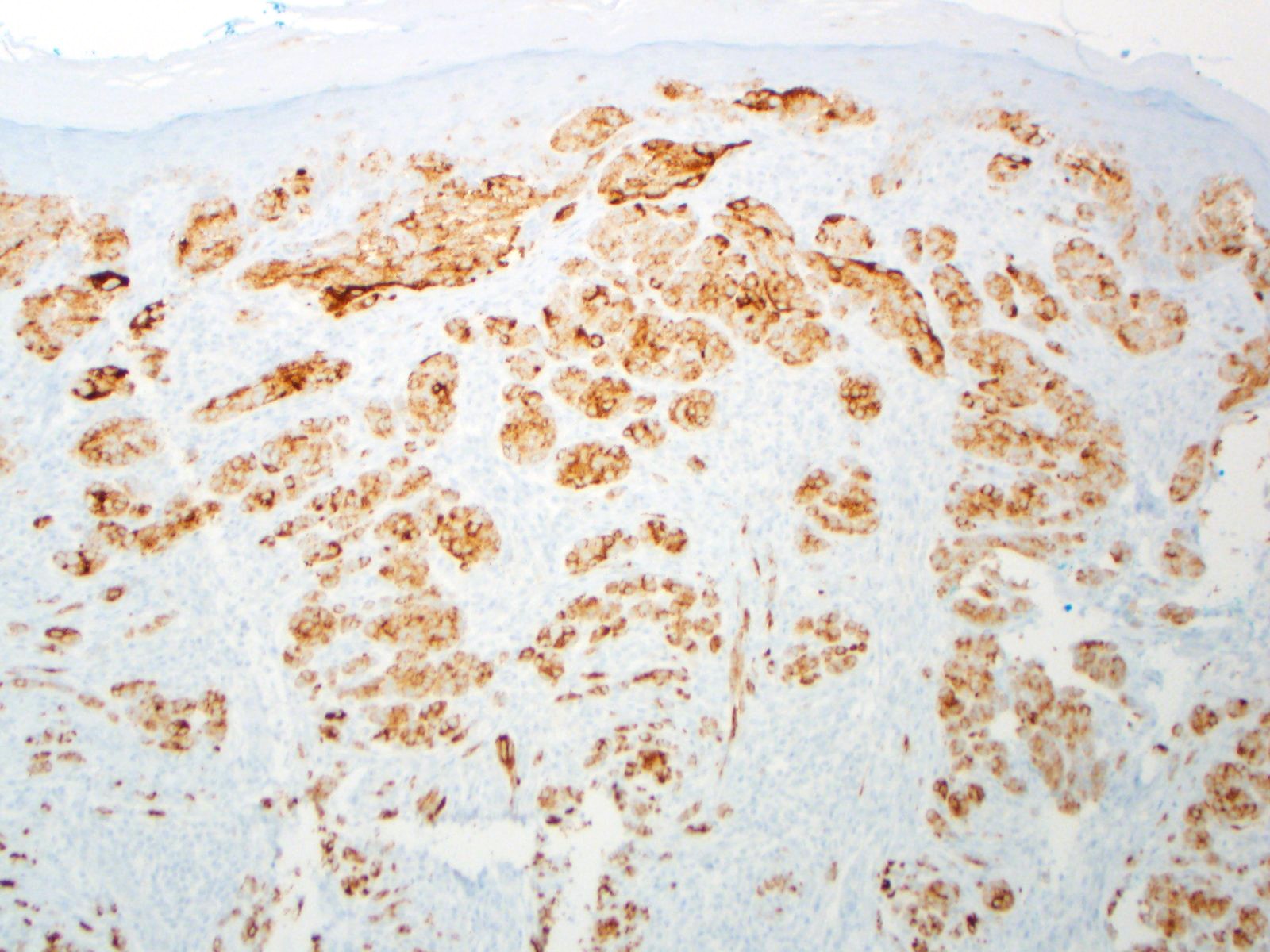
Hereditary leiomyomatosis and renal cell carcinoma (HLRCC) syndrome-associated RCC and leiomyoma
|
Most renal tumors and leiomyomas not associated with HLRCC
|
Staining Pattern
Cytoplasmic and nuclear
Decalcified Tissue Validated
No
Cell Block Validated
No
|
Images
| HLRCC-associated RCC |
|
| Non-HLRCC-associated RCC |
|
| HLRCC-associated leiomyoma |
|
|
References
|
|
| A-1 AT |
A-1 Antitrypsin |
|
| Clone (Vendor) |
Positive In |
Negative In |
|
Rabbit polyclonal (Ventana)
Open Datasheet
|
--
|
--
|
Staining Pattern
--
Decalcified Tissue Validated
No
Cell Block Validated
No
|
Images
No Images Available
|
References
No References Available
|
|
| A-B-CRYS |
Alpha Beta Crystallin |
|
| Clone (Vendor) |
Positive In |
Negative In |
|
Rabbit monoclonal EPR2752 (Abcam)
Open Datasheet
|
--
|
--
|
Staining Pattern
--
Decalcified Tissue Validated
No
Cell Block Validated
No
|
Images
No Images Available
|
References
No References Available
|
|
| A-SARC |
A-Sarcoglycan *Not available as Tech Only* |
|
| Clone (Vendor) |
Positive In |
Negative In |
|
Mouse monoclonal Ad1/20A6 (Leica)
Open Datasheet
|
--
|
--
|
Staining Pattern
--
Decalcified Tissue Validated
No
Cell Block Validated
No
|
Images
No Images Available
|
References
No References Available
|
|
| ACTH |
ACTH |
|
| Clone (Vendor) |
Positive In |
Negative In |
|
Rabbit polyclonal (Ventana)
Open Datasheet
|
--
|
--
|
Staining Pattern
--
Decalcified Tissue Validated
Yes
Cell Block Validated
No
|
Images
No Images Available
|
References
No References Available
|
|
| ADENO |
Adenovirus |
|
| Clone (Vendor) |
Positive In |
Negative In |
|
Mouse monoclonal 20/11+2/6 (Cell Marque)
Open Datasheet
|
--
|
--
|
Staining Pattern
--
Decalcified Tissue Validated
No
Cell Block Validated
No
|
Images
No Images Available
|
References
No References Available
|
|
| AE1/AE3 |
Cytokeratin AE1/AE3 |
|
| Clone (Vendor) |
Positive In |
Negative In |
|
Mouse monoclonal AE1/AE3 (Cell Marque)
Open Datasheet
|
--
|
--
|
Staining Pattern
--
Decalcified Tissue Validated
No
Cell Block Validated
No
|
Images
No Images Available
|
References
No References Available
|
|
| AFP |
AFP |
|
| Clone (Vendor) |
Positive In |
Negative In |
|
Rabbit polyclonal (Cell Marque)
Open Datasheet
|
--
|
--
|
Staining Pattern
--
Decalcified Tissue Validated
No
Cell Block Validated
No
|
Images
No Images Available
|
References
No References Available
|
|
| ALK-AP |
ALK-AP |
|
| Clone (Vendor) |
Positive In |
Negative In |
|
Rabbit monoclonal D5F3 (Ventana)
Open Datasheet
|
Inflammatory myofibroblastic tumor (50-60% cases); epithelioid fibrous histiocytoma; ALK-rearranged spitzoid melanocytic lesions; other ALK-rearranged tumors (NSCLC, ALCL, etc.); normal nerves and ganglions
|
--
|
Staining Pattern
Cytoplasmic and/or nuclear
Decalcified Tissue Validated
Yes
Cell Block Validated
No
|
Images
| Inflammatory myofibroblastic tumor |
|
| Epithelioid fibrous histiocytoma |
|
| ALK-rearranged spitzoid lesion |
|
| ALK-rearranged NSCLC |
|
| Normal colon with ALK+ nerves/ganglions |
|
|
References
|
|
| ALK-HP |
ALK-HP |
|
| Clone (Vendor) |
Positive In |
Negative In |
|
|
Mouse monoclonal ALK-01 (Ventana)
|
--
|
--
|
Staining Pattern
--
Decalcified Tissue Validated
No
Cell Block Validated
No
|
Images
No Images Available
|
References
No References Available
|
|
| AMACR |
AMACR (p504s) |
|
| Clone (Vendor) |
Positive In |
Negative In |
|
Rabbit monoclonal SP116 (Ventana)
Open Datasheet
|
--
|
--
|
Staining Pattern
--
Decalcified Tissue Validated
No
Cell Block Validated
No
|
Images
No Images Available
|
References
No References Available
|
|
| AND-REC |
Androgen Receptor |
|
| Clone (Vendor) |
Positive In |
Negative In |
|
Rabbit monoclonal SP107 (Ventana)
Open Datasheet
|
--
|
--
|
Staining Pattern
--
Decalcified Tissue Validated
No
Cell Block Validated
No
|
Images
No Images Available
|
References
No References Available
|
|
| ANNEXIN |
Annexin A1 |
|
| Clone (Vendor) |
Positive In |
Negative In |
|
Mouse monoclonal MRQ-3 (Ventana)
Open Datasheet
|
--
|
--
|
Staining Pattern
--
Decalcified Tissue Validated
Yes
Cell Block Validated
No
|
Images
No Images Available
|
References
No References Available
|
|
| ARG-1 |
Arginase-1 |
|
| Clone (Vendor) |
Positive In |
Negative In |
|
Rabbit monoclonal SP156 (Ventana)
Open Datasheet
|
--
|
--
|
Staining Pattern
--
Decalcified Tissue Validated
No
Cell Block Validated
No
|
Images
No Images Available
|
References
No References Available
|
|
| ATRX |
ATRX |
|
| Clone (Vendor) |
Positive In |
Negative In |
|
Rabbit Polyclonal (Cell Marque)
Open Datasheet
|
--
|
--
|
Staining Pattern
--
Decalcified Tissue Validated
No
Cell Block Validated
No
|
Images
No Images Available
|
References
No References Available
|
|
| B-AMYL |
Beta-Amyloid |
|
| Clone (Vendor) |
Positive In |
Negative In |
|
Mouse monoclonal NAB228 (Cell Signaling)
Open Datasheet
|
--
|
--
|
Staining Pattern
--
Decalcified Tissue Validated
No
Cell Block Validated
No
|
Images
No Images Available
|
References
No References Available
|
|
| B-CAT |
B-Catenin |
|
| Clone (Vendor) |
Positive In |
Negative In |
|
Mouse monoclonal 14 (Ventana)
Open Datasheet
|
--
|
--
|
Staining Pattern
--
Decalcified Tissue Validated
No
Cell Block Validated
No
|
Images
No Images Available
|
References
No References Available
|
|
| B-DYG |
B-Dystroglycan *Not available as Tech Only* |
|
| Clone (Vendor) |
Positive In |
Negative In |
|
Mouse monoclonal 43DAG1/8D5 (Leica)
Open Datasheet
|
--
|
--
|
Staining Pattern
--
Decalcified Tissue Validated
No
Cell Block Validated
No
|
Images
No Images Available
|
References
No References Available
|
|
| B-SARC |
B-Sarcoglycan *Not available as Tech Only* |
|
| Clone (Vendor) |
Positive In |
Negative In |
|
Mouse monoclonal ?Sarc1/5B1 (Leica)
Open Datasheet
|
--
|
--
|
Staining Pattern
--
Decalcified Tissue Validated
No
Cell Block Validated
No
|
Images
No Images Available
|
References
No References Available
|
|
| B72.3 |
TAG-72 (B72.3) |
|
| Clone (Vendor) |
Positive In |
Negative In |
|
Mouse monoclonal B72.3 (Biocare)
Open Datasheet
|
--
|
--
|
Staining Pattern
--
Decalcified Tissue Validated
No
Cell Block Validated
No
|
Images
No Images Available
|
References
No References Available
|
|
| BAP1 |
BAP1 |
|
| Clone (Vendor) |
Positive In |
Negative In |
|
Mouse monoclonal C-4 (Santa Cruz)
Open Datasheet
|
--
|
--
|
Staining Pattern
--
Decalcified Tissue Validated
No
Cell Block Validated
Yes
|
Images
No Images Available
|
References
No References Available
|
|
| BCL-10 |
BCL-10 |
|
| Clone (Vendor) |
Positive In |
Negative In |
|
Mouse monoclonal 331.3 (Santa Cruz)
Open Datasheet
|
--
|
--
|
Staining Pattern
--
Decalcified Tissue Validated
No
Cell Block Validated
No
|
Images
No Images Available
|
References
No References Available
|
|
| BCL-2 |
BCL2 |
|
| Clone (Vendor) |
Positive In |
Negative In |
|
Rabbit monoclonal SP66 (Ventana)
Open Datasheet
|
--
|
--
|
Staining Pattern
--
Decalcified Tissue Validated
Yes
Cell Block Validated
Yes
|
Images
No Images Available
|
References
No References Available
|
|
| BCL-6 |
BCL-6 |
|
| Clone (Vendor) |
Positive In |
Negative In |
|
Mouse monoclonal PG-B6p (Dako Omnis)
Open Datasheet
|
--
|
--
|
Staining Pattern
--
Decalcified Tissue Validated
Yes
Cell Block Validated
Yes
|
Images
No Images Available
|
References
No References Available
|
|
| BCL2-ALT |
BCL-2 Alternative *Not available as Tech Only* |
|
| Clone (Vendor) |
Positive In |
Negative In |
|
Mouse monoclonal 124 (Ventana)
Open Datasheet
|
--
|
--
|
Staining Pattern
--
Decalcified Tissue Validated
Yes
Cell Block Validated
Yes
|
Images
No Images Available
|
References
No References Available
|
|
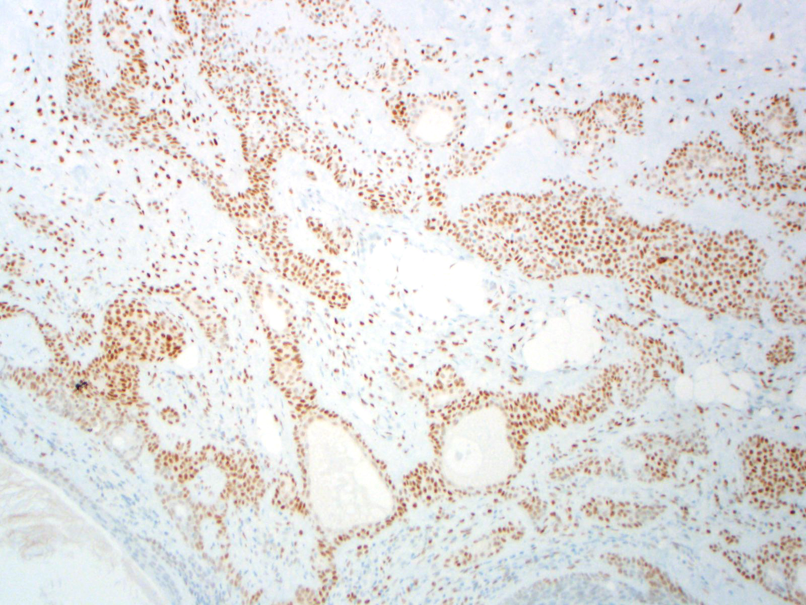
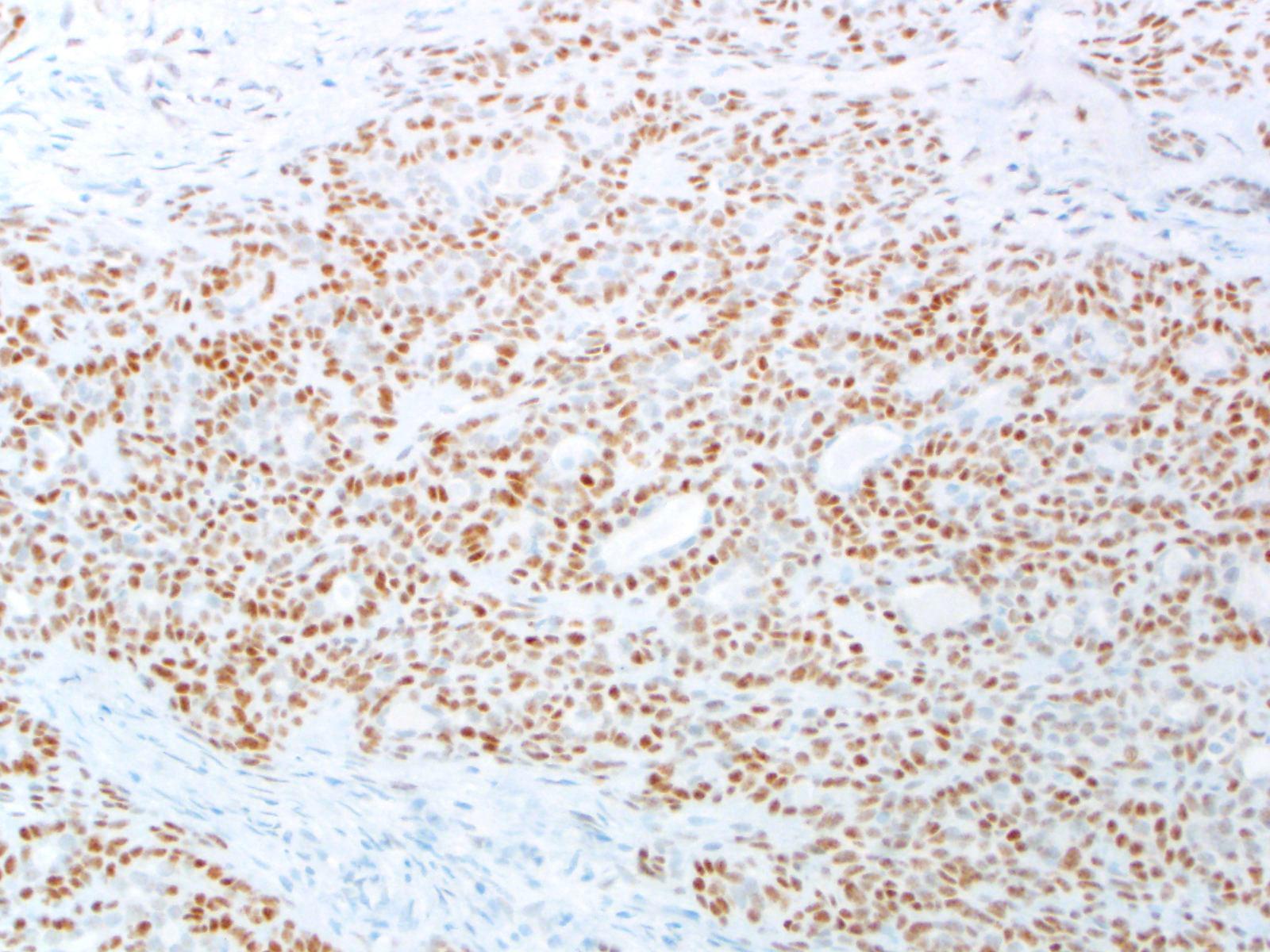
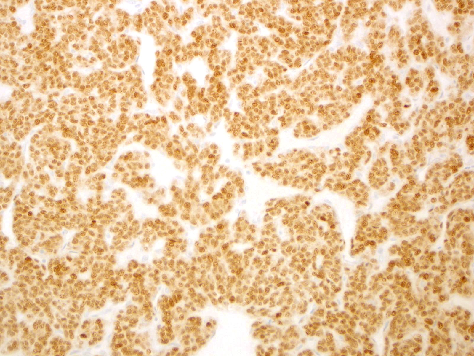
| BCOR |
BCOR (Bcl-6 corepressor protein) |
|
| Clone (Vendor) |
Positive In |
Negative In |
|
Mouse monoclonal C-10 (Santa Cruz Biotechnology)
Open Datasheet
|
BCOR-associated tumors, including: BCOR-CCNB3 sarcoma, BCOR-MAML3 sarcoma, high-grade endometrial stromal sarcoma (ESS) harboring ZC3H7B-BCOR or BCOR internal tandem duplications (ITD), undifferentiated round cell sarcoma of young children harboring BCOR ITD, clear cell sarcoma of the kidney (CCSK) harboring BCOR ITD; EP300-BCOR pediatric glioma
|
Ewing sarcoma, CIC sarcoma, other sarcomas lacking BCOR alterations
|
Staining Pattern
Nuclear
Decalcified Tissue Validated
No
Cell Block Validated
No
|
Images
| High-grade ESS |
|
| BCOR-CCNB3 sarcoma |
|
| Ewing sarcoma |
|
|
References
|
|
| BER-EP4 |
BerEP4 |
|
| Clone (Vendor) |
Positive In |
Negative In |
|
Mouse monoclonal BerEP4 (Dako)
Open Datasheet
|
--
|
--
|
Staining Pattern
--
Decalcified Tissue Validated
No
Cell Block Validated
No
|
Images
No Images Available
|
References
No References Available
|
|
| BOB 1 |
BOB-1 |
|
| Clone (Vendor) |
Positive In |
Negative In |
|
Rabbit monoclonal SP92 (Ventana)
Open Datasheet
|
--
|
--
|
Staining Pattern
--
Decalcified Tissue Validated
No
Cell Block Validated
No
|
Images
No Images Available
|
References
No References Available
|
|
| BRACHY |
Brachyury |
|
| Clone (Vendor) |
Positive In |
Negative In |
|
Mouse monoclonal 1H9A2 (Abcam)
Open Datasheet
|
--
|
--
|
Staining Pattern
--
Decalcified Tissue Validated
Yes
Cell Block Validated
No
|
Images
No Images Available
|
References
No References Available
|
|
| BRAF-V |
BRAF V600E |
|
| Clone (Vendor) |
Positive In |
Negative In |
|
Mouse monoclonal VE1 (Ventana)
Open Datasheet
|
--
|
--
|
Staining Pattern
--
Decalcified Tissue Validated
No
Cell Block Validated
No
|
Images
No Images Available
|
References
No References Available
|
|
| BRST-2 |
BRST-2 (GCDFP-15) |
|
| Clone (Vendor) |
Positive In |
Negative In |
|
Rabbit monoclonal EP1582Y (Cell Marque)
Open Datasheet
|
--
|
--
|
Staining Pattern
--
Decalcified Tissue Validated
No
Cell Block Validated
No
|
Images
No Images Available
|
References
No References Available
|
|
| C-MYC |
C-Myc |
|
| Clone (Vendor) |
Positive In |
Negative In |
|
Rabbit monoclonal Y69 (Ventana)
Open Datasheet
|
--
|
--
|
Staining Pattern
--
Decalcified Tissue Validated
Yes
Cell Block Validated
No
|
Images
No Images Available
|
References
No References Available
|
|
| C3D |
C3d |
|
| Clone (Vendor) |
Positive In |
Negative In |
|
Rabbit Polyclonal (Ventana)
Open Datasheet
|
--
|
--
|
Staining Pattern
--
Decalcified Tissue Validated
No
Cell Block Validated
No
|
Images
No Images Available
|
References
No References Available
|
|
| C4D |
C4d |
|
| Clone (Vendor) |
Positive In |
Negative In |
|
Rabbit polyclonal (American Research Products)
Open Datasheet
|
Detection of C4d along peritubular capillaries in renal/heart biopsies is a prognostic marker of poor long-term graft survival
|
--
|
Staining Pattern
Membranous
Decalcified Tissue Validated
No
Cell Block Validated
No
|
Images
| C4d positivity in kidney allograft biopsy |
|
| C4d positivity in kidney allograft biopsy |
|
|
References
|
|
| C5B-9 |
C5b9 *Not available as Tech Only* |
|
| Clone (Vendor) |
Positive In |
Negative In |
|
Mouse monoclonal aE11 (Dako)
Open Datasheet
|
--
|
--
|
Staining Pattern
--
Decalcified Tissue Validated
No
Cell Block Validated
No
|
Images
No Images Available
|
References
No References Available
|
|
| CAIX |
CAIX |
|
| Clone (Vendor) |
Positive In |
Negative In |
|
Rabbit monoclonal EP161 (Ventana/Cell Marque)
Open Datasheet
|
--
|
--
|
Staining Pattern
membranous
Decalcified Tissue Validated
Yes
Cell Block Validated
Yes
|
Images
No Images Available
|
References
No References Available
|
|
| CALCIT |
Calcitonin |
|
| Clone (Vendor) |
Positive In |
Negative In |
|
SP17 (Ventana)
Open Datasheet
|
--
|
--
|
Staining Pattern
--
Decalcified Tissue Validated
No
Cell Block Validated
Yes
|
Images
No Images Available
|
References
No References Available
|
|
| CALDES |
h-Caldesmon |
|
| Clone (Vendor) |
Positive In |
Negative In |
|
Mouse monoclonal hHCD (Cell Marque)
Open Datasheet
|
--
|
--
|
Staining Pattern
--
Decalcified Tissue Validated
Yes
Cell Block Validated
Yes
|
Images
No Images Available
|
References
No References Available
|
|
| CALPON |
Calponin |
|
| Clone (Vendor) |
Positive In |
Negative In |
|
Rabbit monoclonal EP798Y (Ventana)
Open Datasheet
|
--
|
--
|
Staining Pattern
--
Decalcified Tissue Validated
No
Cell Block Validated
No
|
Images
No Images Available
|
References
No References Available
|
|
| CALRET |
Calretinin |
|
| Clone (Vendor) |
Positive In |
Negative In |
|
Rabbit monoclonal SP65 (Ventana)
Open Datasheet
|
--
|
--
|
Staining Pattern
--
Decalcified Tissue Validated
No
Cell Block Validated
No
|
Images
No Images Available
|
References
No References Available
|
|
| CAM5.2 |
Anti-Cytokeratin (CAM5.2) |
|
| Clone (Vendor) |
Positive In |
Negative In |
|
Mouse monoclonal CAM5.2 (Ventana)
Open Datasheet
|
--
|
--
|
Staining Pattern
--
Decalcified Tissue Validated
Yes
Cell Block Validated
Yes
|
Images
No Images Available
|
References
No References Available
|
|
| CAMTA1 |
CAMTA1 |
|
| Clone (Vendor) |
Positive In |
Negative In |
|
Rabbit polyclonal (Abcam)
Open Datasheet
|
Epithelioid hemangioendothelioma with WWTR1-CAMTA1 translocation (90% of cases)
|
--
|
Staining Pattern
Nuclear
Decalcified Tissue Validated
No
Cell Block Validated
No
|
Images
| CAMTA |
|
| CAMTA |
|
|
References
|
|
| CATHEPSIN K |
Cathepsin K |
|
| Clone (Vendor) |
Positive In |
Negative In |
|
Mouse monoclonal E-7 (Santa Cruz Biotechnology)
Open Datasheet
|
Translocation renal cell carcinoma, PEComa (lymphangioleiomyoma, angiomyolipoma), alveolar soft part sarcoma; also majority of melanoma and subset of other soft tissue tumors (giant cell tumor, GIST, Kaposi sarcoma, etc.); normal fibroblasts and activated
|
Non-translocation renal cell carcinoma, most other carcinomas
|
Staining Pattern
Cytoplasmic
Decalcified Tissue Validated
Yes
Cell Block Validated
No
|
Images
| Translocation RCC |
|
| Uterine PEComa |
|
| Lymphangioleiomyomatosis |
|
|
References
|
|
| CAVEOL |
Caveolin 3 *Not available as Tech Only* |
|
| Clone (Vendor) |
Positive In |
Negative In |
|
Mouse monoclonal 26 (BD Biosciences)
Open Datasheet
|
--
|
--
|
Staining Pattern
--
Decalcified Tissue Validated
No
Cell Block Validated
No
|
Images
No Images Available
|
References
No References Available
|
|
| CD 10 |
CD 10 |
|
| Clone (Vendor) |
Positive In |
Negative In |
|
Mouse monoclonal DAK-CD10 (Dako)
Open Datasheet
|
--
|
--
|
Staining Pattern
--
Decalcified Tissue Validated
Yes
Cell Block Validated
Yes
|
Images
No Images Available
|
References
No References Available
|
|
| CD 117 |
CD 117 |
|
| Clone (Vendor) |
Positive In |
Negative In |
|
Rabbit monoclonal YR145 (Cell Marque)
Open Datasheet
|
--
|
--
|
Staining Pattern
--
Decalcified Tissue Validated
No
Cell Block Validated
No
|
Images
No Images Available
|
References
No References Available
|
|
| CD 123 |
CD 123 |
|
| Clone (Vendor) |
Positive In |
Negative In |
|
Mouse monoclonal 7G3 (BD Biosciences)
Open Datasheet
|
--
|
--
|
Staining Pattern
--
Decalcified Tissue Validated
No
Cell Block Validated
No
|
Images
No Images Available
|
References
No References Available
|
|
| CD 13 |
CD 13 |
|
| Clone (Vendor) |
Positive In |
Negative In |
|
Mouse monoclonal 38C12 (Leica)
Open Datasheet
|
--
|
--
|
Staining Pattern
--
Decalcified Tissue Validated
No
Cell Block Validated
No
|
Images
No Images Available
|
References
No References Available
|
|
| CD 138 |
CD 138 |
|
| Clone (Vendor) |
Positive In |
Negative In |
|
Mouse monoclonal B-A38 (Cell Marque)
Open Datasheet
|
--
|
--
|
Staining Pattern
--
Decalcified Tissue Validated
Yes
Cell Block Validated
No
|
Images
No Images Available
|
References
No References Available
|
|
| CD 14 |
CD 14 |
|
| Clone (Vendor) |
Positive In |
Negative In |
|
Rabbit monoclonal EPR3653 (Cell Marque)
Open Datasheet
|
--
|
--
|
Staining Pattern
--
Decalcified Tissue Validated
Yes
Cell Block Validated
No
|
Images
No Images Available
|
References
No References Available
|
|
| CD 15 |
CD 15 |
|
| Clone (Vendor) |
Positive In |
Negative In |
|
Mouse monoclonal MMA (Ventana)
Open Datasheet
|
--
|
--
|
Staining Pattern
--
Decalcified Tissue Validated
yes
Cell Block Validated
No
|
Images
No Images Available
|
References
No References Available
|
|
| CD 163 |
CD163 |
|
| Clone (Vendor) |
Positive In |
Negative In |
|
Mouse monoclonal 10D6 (Leica)
Open Datasheet
|
--
|
--
|
Staining Pattern
--
Decalcified Tissue Validated
No
Cell Block Validated
No
|
Images
No Images Available
|
References
No References Available
|
|
| CD 19 |
CD 19 |
|
| Clone (Vendor) |
Positive In |
Negative In |
|
Rabbit monoclonal EP169 (Cell Marque)
Open Datasheet
|
--
|
--
|
Staining Pattern
--
Decalcified Tissue Validated
Yes
Cell Block Validated
No
|
Images
No Images Available
|
References
No References Available
|
|
| CD 1A |
CD1a |
|
| Clone (Vendor) |
Positive In |
Negative In |
|
Rabbit monoclonal EP3622 (Ventana)
Open Datasheet
|
--
|
--
|
Staining Pattern
--
Decalcified Tissue Validated
No
Cell Block Validated
No
|
Images
No Images Available
|
References
No References Available
|
|
| CD 2 |
CD 2 |
|
| Clone (Vendor) |
Positive In |
Negative In |
|
Mouse monoclonal MRQ-11 (Cell Marque)
Open Datasheet
|
T cells, NK cells, and neoplasms derived from these cells
|
B cells, granulocytes; aberrant loss of expression in some T-cell lymphomas
|
Staining Pattern
Cytoplasmic
Decalcified Tissue Validated
Yes
Cell Block Validated
Yes
|
Images
| Angioimmunoblastic T-cell lymphoma |
|
| Mycosis fungoides (cutaneous T-cell lymphoma) |
|
|
References
No References Available
|
|
| CD 20 |
CD 20 |
|
| Clone (Vendor) |
Positive In |
Negative In |
|
Mouse monoclonal L26 (Ventana)
Open Datasheet
|
--
|
--
|
Staining Pattern
--
Decalcified Tissue Validated
yes
Cell Block Validated
no
|
Images
No Images Available
|
References
No References Available
|
|
| CD 21 |
CD 21 |
|
| Clone (Vendor) |
Positive In |
Negative In |
|
Mouse monoclonal 1F8 (Dako)
Open Datasheet
|
--
|
--
|
Staining Pattern
--
Decalcified Tissue Validated
No
Cell Block Validated
No
|
Images
No Images Available
|
References
No References Available
|
|
| CD 23 |
CD23 |
|
| Clone (Vendor) |
Positive In |
Negative In |
|
Rabbit monoclonal SP23 (Ventana)
Open Datasheet
|
--
|
--
|
Staining Pattern
--
Decalcified Tissue Validated
No
Cell Block Validated
No
|
Images
No Images Available
|
References
No References Available
|
|
| CD 25 |
CD 25 |
|
| Clone (Vendor) |
Positive In |
Negative In |
|
Mouse monoclonal 4C9 (Leica)
Open Datasheet
|
--
|
--
|
Staining Pattern
--
Decalcified Tissue Validated
Yes
Cell Block Validated
No
|
Images
No Images Available
|
References
No References Available
|
|
| CD 3 |
CD3 |
|
| Clone (Vendor) |
Positive In |
Negative In |
|
Rabbit monoclonal 2GV6 (Ventana)
Open Datasheet
|
--
|
--
|
Staining Pattern
--
Decalcified Tissue Validated
No
Cell Block Validated
No
|
Images
No Images Available
|
References
No References Available
|
|
| CD 30 |
CD 30 |
|
| Clone (Vendor) |
Positive In |
Negative In |
|
Mouse monoclonal BerH2 (Ventana)
Open Datasheet
|
--
|
--
|
Staining Pattern
--
Decalcified Tissue Validated
Yes
Cell Block Validated
Yes
|
Images
No Images Available
|
References
No References Available
|
|
| CD 31 |
CD 31 |
|
| Clone (Vendor) |
Positive In |
Negative In |
|
Mouse monoclonal JC70 (Ventana)
Open Datasheet
|
--
|
--
|
Staining Pattern
--
Decalcified Tissue Validated
No
Cell Block Validated
No
|
Images
No Images Available
|
References
No References Available
|
|
| CD 33 |
CD 33 |
|
| Clone (Vendor) |
Positive In |
Negative In |
|
Mouse monoclonal PWS44 (Leica)
Open Datasheet
|
--
|
--
|
Staining Pattern
--
Decalcified Tissue Validated
No
Cell Block Validated
No
|
Images
No Images Available
|
References
No References Available
|
|
| CD 34 |
CD 34 |
|
| Clone (Vendor) |
Positive In |
Negative In |
|
Mouse monoclonal QBEnd/10 (Ventana)
Open Datasheet
|
--
|
--
|
Staining Pattern
--
Decalcified Tissue Validated
yes
Cell Block Validated
No
|
Images
No Images Available
|
References
No References Available
|
|
| CD 4 |
CD 4 |
|
| Clone (Vendor) |
Positive In |
Negative In |
|
Rabbit monoclonal SP35 (Ventana)
Open Datasheet
|
--
|
--
|
Staining Pattern
--
Decalcified Tissue Validated
No
Cell Block Validated
No
|
Images
No Images Available
|
References
No References Available
|
|
| CD 43 |
CD 43 |
|
| Clone (Vendor) |
Positive In |
Negative In |
|
Mouse monoclonal L60 (Ventana)
Open Datasheet
|
--
|
--
|
Staining Pattern
--
Decalcified Tissue Validated
Yes
Cell Block Validated
Yes
|
Images
No Images Available
|
References
No References Available
|
|
| CD 45 |
CD45 (LCA) |
|
| Clone (Vendor) |
Positive In |
Negative In |
|
Mouse monoclonal RP2/18 (Ventana)
Open Datasheet
|
--
|
--
|
Staining Pattern
--
Decalcified Tissue Validated
yes
Cell Block Validated
no
|
Images
No Images Available
|
References
No References Available
|
|
| CD 5 |
CD5 |
|
| Clone (Vendor) |
Positive In |
Negative In |
|
Rabbit monoclonal SP19 (Ventana)
Open Datasheet
|
--
|
--
|
Staining Pattern
--
Decalcified Tissue Validated
Yes
Cell Block Validated
No
|
Images
No Images Available
|
References
No References Available
|
|
| CD 56 |
CD 56 |
|
| Clone (Vendor) |
Positive In |
Negative In |
|
Rabbit monoclonal MRQ-42 (Ventana)
Open Datasheet
|
--
|
--
|
Staining Pattern
--
Decalcified Tissue Validated
Yes
Cell Block Validated
No
|
Images
No Images Available
|
References
No References Available
|
|
| CD 57 |
CD 57 |
|
| Clone (Vendor) |
Positive In |
Negative In |
|
Mouse monoclonal NK-1 (BioCare)
Open Datasheet
|
--
|
--
|
Staining Pattern
--
Decalcified Tissue Validated
No
Cell Block Validated
No
|
Images
No Images Available
|
References
No References Available
|
|
| CD 61 |
CD 61 |
|
| Clone (Vendor) |
Positive In |
Negative In |
|
Mouse monoclonal 2f2 (Ventana)
Open Datasheet
|
--
|
--
|
Staining Pattern
--
Decalcified Tissue Validated
No
Cell Block Validated
No
|
Images
No Images Available
|
References
No References Available
|
|
| CD 68 |
CD 68 |
|
| Clone (Vendor) |
Positive In |
Negative In |
|
Rabbit monoclonal Sp251v18 (Ventana)
Open Datasheet
|
--
|
--
|
Staining Pattern
--
Decalcified Tissue Validated
Yes
Cell Block Validated
Yes
|
Images
No Images Available
|
References
No References Available
|
|
| CD 7 |
CD 7 |
|
| Clone (Vendor) |
Positive In |
Negative In |
|
Rabbit monoclonal SP94 (Ventana)
Open Datasheet
|
--
|
--
|
Staining Pattern
--
Decalcified Tissue Validated
No
Cell Block Validated
No
|
Images
No Images Available
|
References
No References Available
|
|
| CD 79A |
CD79a |
|
| Clone (Vendor) |
Positive In |
Negative In |
|
Mouse monoclonal JCB117 (Dako)
Open Datasheet
|
--
|
--
|
Staining Pattern
--
Decalcified Tissue Validated
No
Cell Block Validated
No
|
Images
No Images Available
|
References
No References Available
|
|
| CD 8 |
CD 8 |
|
| Clone (Vendor) |
Positive In |
Negative In |
|
Rabbit monoclonal SP239 (Ventana)
Open Datasheet
|
--
|
--
|
Staining Pattern
--
Decalcified Tissue Validated
Yes
Cell Block Validated
Yes
|
Images
No Images Available
|
References
No References Available
|
|
| CD 99 |
CD 99 |
|
| Clone (Vendor) |
Positive In |
Negative In |
|
Mouse monoclonal O13 (Ventana)
Open Datasheet
|
--
|
--
|
Staining Pattern
--
Decalcified Tissue Validated
No
Cell Block Validated
No
|
Images
No Images Available
|
References
No References Available
|
|
| CD71 |
CD71 |
|
| Clone (Vendor) |
Positive In |
Negative In |
|
Mouse monoclonal H68.4 (Invitrogen)
Open Datasheet
|
Erythroid precursors
|
--
|
Staining Pattern
Membranous and cytoplasmic
Decalcified Tissue Validated
Yes
Cell Block Validated
No
|
Images
| Myelodysplastic syndrome |
|
|
References
|
|
| CDX-2 |
CDX2 |
|
| Clone (Vendor) |
Positive In |
Negative In |
|
Rabbit monoclonal EPR2764Y (Ventana)
Open Datasheet
|
--
|
--
|
Staining Pattern
--
Decalcified Tissue Validated
No
Cell Block Validated
No
|
Images
No Images Available
|
References
No References Available
|
|
| CEA-M |
CEAm |
|
| Clone (Vendor) |
Positive In |
Negative In |
|
Mouse monoclonal CEA31 (Ventana)
Open Datasheet
|
--
|
--
|
Staining Pattern
--
Decalcified Tissue Validated
No
Cell Block Validated
No
|
Images
No Images Available
|
References
No References Available
|
|
| CEA-P |
CEA-P |
|
| Clone (Vendor) |
Positive In |
Negative In |
|
Rabbit polyclonal (Cell Marque)
Open Datasheet
|
--
|
--
|
Staining Pattern
--
Decalcified Tissue Validated
No
Cell Block Validated
No
|
Images
No Images Available
|
References
No References Available
|
|
| CGA |
Chromogranin A |
|
| Clone (Vendor) |
Positive In |
Negative In |
|
Mouse monoclonal LK2H10 (Ventana)
Open Datasheet
|
--
|
--
|
Staining Pattern
--
Decalcified Tissue Validated
yes
Cell Block Validated
yes
|
Images
No Images Available
|
References
No References Available
|
|
| CHYMO |
Chymotrypsin |
|
| Clone (Vendor) |
Positive In |
Negative In |
|
Mouse monoclonal; CHYMO10-104.10
Open Datasheet
|
--
|
--
|
Staining Pattern
cytoplasmic
Decalcified Tissue Validated
no
Cell Block Validated
yes
|
Images
No Images Available
|
References
No References Available
|
|
| CK 19 |
CK 19 |
|
| Clone (Vendor) |
Positive In |
Negative In |
|
Mouse monoclonal A53-B/A2.26 (Ventana)
Open Datasheet
|
--
|
--
|
Staining Pattern
--
Decalcified Tissue Validated
No
Cell Block Validated
No
|
Images
No Images Available
|
References
No References Available
|
|
| CK 20 |
CK20 |
|
| Clone (Vendor) |
Positive In |
Negative In |
|
|
Rabbit monoclonal SP33 (Ventana/Roche)
|
--
|
--
|
Staining Pattern
--
Decalcified Tissue Validated
Yes
Cell Block Validated
Yes
|
Images
No Images Available
|
References
No References Available
|
|
| CK 5/6 |
CK5/6 |
|
| Clone (Vendor) |
Positive In |
Negative In |
|
Mouse monoclonal D5/16B4 (Ventana)
Open Datasheet
|
--
|
--
|
Staining Pattern
--
Decalcified Tissue Validated
No
Cell Block Validated
No
|
Images
No Images Available
|
References
No References Available
|
|
| CK 7 |
CK7 |
|
| Clone (Vendor) |
Positive In |
Negative In |
|
Mouse monoclonal OV-TL 12/30 (Cell Marque)
Open Datasheet
|
--
|
--
|
Staining Pattern
--
Decalcified Tissue Validated
No
Cell Block Validated
No
|
Images
No Images Available
|
References
No References Available
|
|
| CK 903 |
K903 |
|
| Clone (Vendor) |
Positive In |
Negative In |
|
Mouse monoclonal 34?E12 (Dako)
Open Datasheet
|
--
|
--
|
Staining Pattern
--
Decalcified Tissue Validated
No
Cell Block Validated
No
|
Images
No Images Available
|
References
No References Available
|
|
| CKCKTL |
Cytokeratin Cocktail |
|
| Clone (Vendor) |
Positive In |
Negative In |
|
AE1/AE3/PCK26 (Ventana)
Open Datasheet
|
--
|
--
|
Staining Pattern
--
Decalcified Tissue Validated
Yes
Cell Block Validated
Yes
|
Images
No Images Available
|
References
No References Available
|
|
| Claudin-4 |
Claudin-4 |
|
| Clone (Vendor) |
Positive In |
Negative In |
|
Rabbit monoclonal EPRR17575 (Abcam)
Open Datasheet
|
Most carcinomas (adenocarcinoma > SCC) and normal epithelia
|
Mesothelioma,SMARCA4-deficient thoracic sarcomatoid tumor, SMARCA4-deficient uterine sarcoma, ovarian smallcell carcinoma of hypercalcemic type, most other sarcomas, melanoma
|
Staining Pattern
Membranous
Decalcified Tissue Validated
Yes
Cell Block Validated
No
|
Images
| Normal lung |
|
| Lung adenocarcinoma |
|
| Lung SCC |
|
| Mesothelioma |
|
| SMARCA4-deficient thoracic sarcomatoid tumor |
|
|
References
|
|
| CLDN18 (Claudin 18) |
CLDN18 *Not available as Tech Only* |
|
| Clone (Vendor) |
Positive In |
Negative In |
|
Mouse monoclonal 43-14A (Ventana)
Open Datasheet
|
Normal gastric mucosa, subset of gastric/gastroesophageal adenocarcinoma, gastric-type endocervical adenocarcinoma, benign gastric-type endocervical lesions
|
Non-gastric normal tissues, subset of gastric/gastroesophageal adenocarcinoma, non-gastric-type endocervical lesions
|
Staining Pattern
Membranous
Decalcified Tissue Validated
No
Cell Block Validated
No
|
Images
| Gastric adenocarcinoma with a positive score (>75%) |
|
|
References
|
|
| CLUST |
Clusterin |
|
| Clone (Vendor) |
Positive In |
Negative In |
|
Mouse monoclonal 41D (Millipore)
Open Datasheet
|
--
|
--
|
Staining Pattern
--
Decalcified Tissue Validated
No
Cell Block Validated
No
|
Images
No Images Available
|
References
No References Available
|
|
| CMV |
CMV |
|
| Clone (Vendor) |
Positive In |
Negative In |
|
Mouse monoclonal CCH2+DDG9 (Dako)
Open Datasheet
|
--
|
--
|
Staining Pattern
--
Decalcified Tissue Validated
No
Cell Block Validated
No
|
Images
No Images Available
|
References
No References Available
|
|
| COLLAGEN IV |
Collagen IV |
|
| Clone (Vendor) |
Positive In |
Negative In |
|
Mouse monoclonal CIV22 (Cell Marque)
Open Datasheet
|
--
|
--
|
Staining Pattern
intercellular
Decalcified Tissue Validated
No
Cell Block Validated
No
|
Images
No Images Available
|
References
No References Available
|
|
| CRP |
CRP |
|
| Clone (Vendor) |
Positive In |
Negative In |
|
Rabbit monoclonal Y284 (Abcam)
Open Datasheet
|
--
|
--
|
Staining Pattern
--
Decalcified Tissue Validated
No
Cell Block Validated
No
|
Images
No Images Available
|
References
No References Available
|
|
| CXCL13 |
CXCL13 |
|
| Clone (Vendor) |
Positive In |
Negative In |
|
Mouse monoclonal 53610 (R&D Systems)
Open Datasheet
|
Follicular helper T cells, angioimmunoblastic T-cell lymphoma, peripheral T-cell lymphoma with follicular helper T phenotype, primary cutaneous CD4+ small/medium lymphoproliferative disorder, follicular dendritic cell sarcoma
|
--
|
Staining Pattern
Cytoplasmic with paranuclear dot
Decalcified Tissue Validated
Yes
Cell Block Validated
No
|
Images
| Angioimmunoblastic T-cell lymphoma |
|
| Angioimmunoblastic T-cell lymphoma |
|
|
References
|
|
| CYCD1 |
Cyclin D1 |
|
| Clone (Vendor) |
Positive In |
Negative In |
|
Rabbit monoclonal SP4-R (Ventana)
Open Datasheet
|
--
|
--
|
Staining Pattern
--
Decalcified Tissue Validated
Yes
Cell Block Validated
Yes
|
Images
No Images Available
|
References
No References Available
|
|
| CYP11B2 |
Aldosterone synthase |
|
| Clone (Vendor) |
Positive In |
Negative In |
|
Mouse monoclonal 41-17B (Millipore)
Open Datasheet
|
Normal adrenal zona glomerulosa; aldosterone-producing cell clusters or tumors
|
--
|
Staining Pattern
Cytoplasmic
Decalcified Tissue Validated
No
Cell Block Validated
No
|
Images
| Normal adrenal gland |
|
| Adrenocortical adenoma |
|
|
References
|
|
| D-SARC |
D-Sarcoglycan *Not available as Tech Only* |
|
| Clone (Vendor) |
Positive In |
Negative In |
|
Mouse monoclonal ?Sarc3/12C1 (Leica)
Open Datasheet
|
--
|
--
|
Staining Pattern
--
Decalcified Tissue Validated
No
Cell Block Validated
No
|
Images
No Images Available
|
References
No References Available
|
|
| D2-40 |
D2-40 |
|
| Clone (Vendor) |
Positive In |
Negative In |
|
Mouse monoclonal D2-40 (BioLegend)
Open Datasheet
|
--
|
--
|
Staining Pattern
--
Decalcified Tissue Validated
No
Cell Block Validated
No
|
Images
No Images Available
|
References
No References Available
|
|
| DDIT3 (CHOP) |
DDIT3 *Not available as Tech Only* |
|
| Clone (Vendor) |
Positive In |
Negative In |
|
Mouse monoclonal 9C8 (Abcam)
Open Datasheet
|
Myxoid/round cell liposarcoma
|
Other liposarcomas, myxoid sarcomas, and round cell sarcomas
|
Staining Pattern
Nuclear
Decalcified Tissue Validated
No
Cell Block Validated
No
|
Images
| Myxoid liposarcoma |
|
| Round cell liposarcoma |
|
| Ewing sarcoma |
|
|
References
|
|
| DESMIN |
Desmin |
|
| Clone (Vendor) |
Positive In |
Negative In |
|
Mouse monoclonal D33 (Biocare)
Open Datasheet
|
--
|
--
|
Staining Pattern
--
Decalcified Tissue Validated
No
Cell Block Validated
No
|
Images
No Images Available
|
References
No References Available
|
|
| DOG-1 |
DOG1 |
|
| Clone (Vendor) |
Positive In |
Negative In |
|
Rabbit monoclonal SP31 (Cell Marque)
Open Datasheet
|
--
|
--
|
Staining Pattern
--
Decalcified Tissue Validated
No
Cell Block Validated
No
|
Images
No Images Available
|
References
No References Available
|
|
| DUX4 |
DUX4 *Not available as Tech Only* |
|
| Clone (Vendor) |
Positive In |
Negative In |
|
P4H2
Open Datasheet
|
DUX4-rearranaged sarcomas including CIC::DUX4 sarcoma
|
Other round cell tumors
|
Staining Pattern
Nuclear
Decalcified Tissue Validated
No
Cell Block Validated
No
|
Images
| CIC::DUX4 sarcoma (nuclear staining in tumor cells; nonspecific cytoplasmic staining in stromal cells) |
|
| Ewing sarcoma |
|
|
References
|
|
| DYS1ROD |
DYS1 *Not available as Tech Only* |
|
| Clone (Vendor) |
Positive In |
Negative In |
|
Mouse monoclonal Dy4/6D3 (Leica)
Open Datasheet
|
--
|
--
|
Staining Pattern
--
Decalcified Tissue Validated
No
Cell Block Validated
NO
|
Images
No Images Available
|
References
No References Available
|
|
| DYS2CT |
DYS2 *Not available as Tech Only* |
|
| Clone (Vendor) |
Positive In |
Negative In |
|
Mouse monoclonal Dy8/6C5 (Leica)
Open Datasheet
|
--
|
--
|
Staining Pattern
--
Decalcified Tissue Validated
No
Cell Block Validated
No
|
Images
No Images Available
|
References
No References Available
|
|
| DYS3NT |
DYS3 *Not available as Tech Only* |
|
| Clone (Vendor) |
Positive In |
Negative In |
|
Mouse monoclonal Dy10/12B2 (Leica)
Open Datasheet
|
--
|
--
|
Staining Pattern
--
Decalcified Tissue Validated
No
Cell Block Validated
No
|
Images
No Images Available
|
References
No References Available
|
|
| DYSFER |
Dysferlin *Not available as Tech Only* |
|
| Clone (Vendor) |
Positive In |
Negative In |
|
Mouse monoclonal HAM1/7B6 (Leica)
Open Datasheet
|
--
|
--
|
Staining Pattern
--
Decalcified Tissue Validated
No
Cell Block Validated
No
|
Images
No Images Available
|
References
No References Available
|
|
| E-CAD |
E-Cadherin |
|
| Clone (Vendor) |
Positive In |
Negative In |
|
Mouse monoclonal 36 (Ventana)
Open Datasheet
|
--
|
--
|
Staining Pattern
--
Decalcified Tissue Validated
No
Cell Block Validated
No
|
Images
No Images Available
|
References
No References Available
|
|
| EMA |
EMA |
|
| Clone (Vendor) |
Positive In |
Negative In |
|
Mouse monoclonal E29 (Ventana)
Open Datasheet
|
--
|
--
|
Staining Pattern
--
Decalcified Tissue Validated
No
Cell Block Validated
No
|
Images
No Images Available
|
References
No References Available
|
|
| EMERIN |
Emerin *Not available as Tech Only* |
|
| Clone (Vendor) |
Positive In |
Negative In |
|
Mouse monoclonal 4G5 (Leica)
Open Datasheet
|
--
|
--
|
Staining Pattern
--
Decalcified Tissue Validated
No
Cell Block Validated
No
|
Images
No Images Available
|
References
No References Available
|
|
| ER |
ER |
|
| Clone (Vendor) |
Positive In |
Negative In |
|
|
Rabbit monoclonal SP1 (Ventana)
|
--
|
--
|
Staining Pattern
--
Decalcified Tissue Validated
No
Cell Block Validated
Yes
|
Images
No Images Available
|
References
No References Available
|
|
| ERG |
ERG |
|
| Clone (Vendor) |
Positive In |
Negative In |
|
Rabbit monoclonal EPR3864 (Ventana)
Open Datasheet
|
--
|
--
|
Staining Pattern
--
Decalcified Tissue Validated
No
Cell Block Validated
No
|
Images
No Images Available
|
References
No References Available
|
|
| EZHIP |
EZHIP (CXorf67) |
|
| Clone (Vendor) |
Positive In |
Negative In |
|
Rabbit polyclonal (Sigma Aldrich)
Open Datasheet
|
H3K27-altered diffuse midline glioma with aberrant EZHIP overexpression; posterior fossa ependymoma, group PFA
|
--
|
Staining Pattern
Nuclear
Decalcified Tissue Validated
No
Cell Block Validated
No
|
Images
| Posterior fossa ependymoma, group PFA |
|
| H3K27M-mutant diffuse midline glioma |
|
|
References
|
|
| F-MYOSIN |
Fast Myosin |
|
| Clone (Vendor) |
Positive In |
Negative In |
|
Mouse monoclonal MY32 (Sigma; M4276)
Open Datasheet
|
--
|
--
|
Staining Pattern
--
Decalcified Tissue Validated
No
Cell Block Validated
No
|
Images
No Images Available
|
References
No References Available
|
|
| F13A |
Factor XIIIa |
|
| Clone (Vendor) |
Positive In |
Negative In |
|
Mouse monoclonal AC-1A1 (Ventana)
Open Datasheet
|
--
|
--
|
Staining Pattern
--
Decalcified Tissue Validated
No
Cell Block Validated
No
|
Images
No Images Available
|
References
No References Available
|
|
| FASCIN |
Fascin |
|
| Clone (Vendor) |
Positive In |
Negative In |
|
Rabbit Monoclonal EP116 (Cell Marque/Epitomics)
Open Datasheet
|
--
|
--
|
Staining Pattern
--
Decalcified Tissue Validated
No
Cell Block Validated
No
|
Images
No Images Available
|
References
No References Available
|
|
| FH |
FH |
|
| Clone (Vendor) |
Positive In |
Negative In |
|
Mouse monoclonal J-13 (Santa Cruz)
Open Datasheet
|
--
|
--
|
Staining Pattern
--
Decalcified Tissue Validated
No
Cell Block Validated
No
|
Images
No Images Available
|
References
No References Available
|
|
| FITC-IGG1 |
FITC-IGG1 *Not available as Tech Only* |
|
| Clone (Vendor) |
Positive In |
Negative In |
|
HP6069
Open Datasheet
|
--
|
--
|
Staining Pattern
--
Decalcified Tissue Validated
no
Cell Block Validated
no
|
Images
No Images Available
|
References
No References Available
|
|
| FITC-IGG2 |
FITC-IGG2 *Not available as Tech Only* |
|
| Clone (Vendor) |
Positive In |
Negative In |
|
HP6002
Open Datasheet
|
--
|
--
|
Staining Pattern
--
Decalcified Tissue Validated
no
Cell Block Validated
no
|
Images
No Images Available
|
References
No References Available
|
|
| FITC-IGG3 |
FITC-IGG3 *Not available as Tech Only* |
|
| Clone (Vendor) |
Positive In |
Negative In |
|
MH1031
Open Datasheet
|
--
|
--
|
Staining Pattern
--
Decalcified Tissue Validated
no
Cell Block Validated
no
|
Images
No Images Available
|
References
No References Available
|
|
| FITC-IGG4 |
FITC-IGG4 *Not available as Tech Only* |
|
| Clone (Vendor) |
Positive In |
Negative In |
|
A10651
Open Datasheet
|
--
|
--
|
Staining Pattern
--
Decalcified Tissue Validated
no
Cell Block Validated
no
|
Images
No Images Available
|
References
No References Available
|
|
| FOLR1 |
FOLR1-2.1, folate receptor alpha *Not available as Tech Only* |
|
| Clone (Vendor) |
Positive In |
Negative In |
|
FOLR1-2.1
Open Datasheet
|
Fallopian tube
|
--
|
Staining Pattern
membranous, cytoplasmic
Decalcified Tissue Validated
no
Cell Block Validated
no
|
Images
No Images Available
|
References
No References Available
|
|
| FOS |
FOS (C-FOS) |
|
| Clone (Vendor) |
Positive In |
Negative In |
|
Rabbit monoclonal 9F6 (Cell Signaling)
Open Datasheet
|
Osteoblastoma, osteoid osteoma, and cementoblastoma (tumors with FOS rearrangement)
|
Most osteosarcomas and other bone tumors
|
Staining Pattern
Nuclear
Decalcified Tissue Validated
Yes
Cell Block Validated
No
|
Images
| Osteoblastoma |
|
|
References
|
|
| FOSB |
FOSB |
|
| Clone (Vendor) |
Positive In |
Negative In |
|
Rabbit monoclonal 5G4 (Cell Signaling)
Open Datasheet
|
Epithelioid hemangioma, pseudomyogenic hemangioendothelioma
|
Epithelioid hemangioendothelioma, other vascular tumors
|
Staining Pattern
Nuclear
Decalcified Tissue Validated
No (Antibody does not work on decalcified tissues)
Cell Block Validated
No
|
Images
| Epithelioid hemangioma-1 |
|
| Epithelioid hemangioma-2 |
|
|
References
|
|
| FOXP1 |
FoxP1 |
|
| Clone (Vendor) |
Positive In |
Negative In |
|
Rabbit monoclonal SP133 (Cell Marque)
Open Datasheet
|
--
|
--
|
Staining Pattern
--
Decalcified Tissue Validated
No
Cell Block Validated
No
|
Images
No Images Available
|
References
No References Available
|
|
| FSH |
FSH |
|
| Clone (Vendor) |
Positive In |
Negative In |
|
Rabbit monoclonal EP257 (Cell Marque)
Open Datasheet
|
--
|
--
|
Staining Pattern
cytoplasmic
Decalcified Tissue Validated
Yes
Cell Block Validated
No
|
Images
No Images Available
|
References
No References Available
|
|
| FVIIIRA |
Factor VIII RA |
|
| Clone (Vendor) |
Positive In |
Negative In |
|
Rabbit polyclonal (Ventana)
Open Datasheet
|
--
|
--
|
Staining Pattern
--
Decalcified Tissue Validated
No
Cell Block Validated
No
|
Images
No Images Available
|
References
No References Available
|
|
| G-SARC |
G-Sarcoglycan *Not available as Tech Only* |
|
| Clone (Vendor) |
Positive In |
Negative In |
|
Mouse monoclonal 35DAG/21B5 (Leica)
Open Datasheet
|
--
|
--
|
Staining Pattern
--
Decalcified Tissue Validated
No
Cell Block Validated
No
|
Images
No Images Available
|
References
No References Available
|
|
| GASTRIN |
Gastrin |
|
| Clone (Vendor) |
Positive In |
Negative In |
|
Rabbit polyclonal (Cell Marque)
Open Datasheet
|
--
|
--
|
Staining Pattern
--
Decalcified Tissue Validated
No
Cell Block Validated
No
|
Images
No Images Available
|
References
No References Available
|
|
| GATA-3 |
GATA-3 |
|
| Clone (Vendor) |
Positive In |
Negative In |
|
Mouse monoclonal L50-823 (Ventana)
Open Datasheet
|
--
|
--
|
Staining Pattern
--
Decalcified Tissue Validated
No
Cell Block Validated
No
|
Images
No Images Available
|
References
No References Available
|
|
| GFAP |
GFAP |
|
| Clone (Vendor) |
Positive In |
Negative In |
|
Rabbit polyclonal (Dako)
Open Datasheet
|
--
|
--
|
Staining Pattern
--
Decalcified Tissue Validated
No
Cell Block Validated
No
|
Images
No Images Available
|
References
No References Available
|
|
| GH |
GH |
|
| Clone (Vendor) |
Positive In |
Negative In |
|
Rabbit polyclonal (Ventana)
Open Datasheet
|
--
|
--
|
Staining Pattern
--
Decalcified Tissue Validated
Yes
Cell Block Validated
No
|
Images
No Images Available
|
References
No References Available
|
|
| GLIP3 |
Glypican 3 |
|
| Clone (Vendor) |
Positive In |
Negative In |
|
Mouse monoclonal GC33 (Ventana)
Open Datasheet
|
--
|
--
|
Staining Pattern
--
Decalcified Tissue Validated
No
Cell Block Validated
No
|
Images
No Images Available
|
References
No References Available
|
|
| GLUT SYNTH |
Glutamine Synthetase |
|
| Clone (Vendor) |
Positive In |
Negative In |
|
Mouse monoclonal GS-6 (Ventana)
Open Datasheet
|
--
|
--
|
Staining Pattern
--
Decalcified Tissue Validated
No
Cell Block Validated
No
|
Images
No Images Available
|
References
No References Available
|
|
| GLUT1 |
Glut1 |
|
| Clone (Vendor) |
Positive In |
Negative In |
|
Rabbit Polyclonal (Ventana)
Open Datasheet
|
--
|
--
|
Staining Pattern
--
Decalcified Tissue Validated
No
Cell Block Validated
No
|
Images
No Images Available
|
References
No References Available
|
|
| GRANZYME |
Granzyme B |
|
| Clone (Vendor) |
Positive In |
Negative In |
|
Rabbit polyclonal (Cell Marque)
Open Datasheet
|
--
|
--
|
Staining Pattern
--
Decalcified Tissue Validated
Yes
Cell Block Validated
No
|
Images
No Images Available
|
References
No References Available
|
|
| GRM1 |
GRM1 *Not available as Tech Only* |
|
| Clone (Vendor) |
Positive In |
Negative In |
|
Rabbit monoclonal JM11-61 (ThermoFisher)
Open Datasheet
|
Chondromyxoid fibroma
|
Morphologic mimics such as chondrosarcoma, chondromyxoid fibroma-like osteosarcoma, and phosphaturic mesenchymal tumor with chondromyxoid fibroma-like morphology
|
Staining Pattern
Cytoplasmic
Decalcified Tissue Validated
Yes
Cell Block Validated
No
|
Images
| Chondromyxoid fibroma |
|
| Chondromyxoid fibroma |
|
| Chondrosarcoma |
|
|
References
|
|
| H.PYL |
H.pylori |
|
| Clone (Vendor) |
Positive In |
Negative In |
|
Rabbit monoclonal SP48 (Ventana)
Open Datasheet
|
--
|
--
|
Staining Pattern
--
Decalcified Tissue Validated
No
Cell Block Validated
No
|
Images
No Images Available
|
References
No References Available
|
|
| H3G34R |
H3G34R |
|
| Clone (Vendor) |
Positive In |
Negative In |
|
Rabbit monoclonal RM240 (RevMab)
Open Datasheet
|
Gliomas with histone H3.3 G34R mutation
|
--
|
Staining Pattern
Nuclear
Decalcified Tissue Validated
No
Cell Block Validated
No
|
Images
| H3G34R-mutant glioma |
|
|
References
|
|
| H3G34V |
H3G34V |
|
| Clone (Vendor) |
Positive In |
Negative In |
|
Rabbit monoclonal RM307 (RevMab)
Open Datasheet
|
Gliomas with histone H3.3 G34V mutation
|
--
|
Staining Pattern
Nuclear
Decalcified Tissue Validated
No
Cell Block Validated
No
|
Images
| H3G34V-mutant glioma |
|
|
References
|
|
| H3G34W |
H3.3 G34W |
|
| Clone (Vendor) |
Positive In |
Negative In |
|
Rabbit monoclonal RM263 (RevMab)
Open Datasheet
|
Giant cell tumor of bone (to distinguish from tenosynovial giant cell tumor and aneurysmal bone cyst)
|
--
|
Staining Pattern
Nuclear
Decalcified Tissue Validated
Yes, but staining tends to be weaker and less diffuse on decalcified tissues
Cell Block Validated
No
|
Images
| Giant cell tumor of bone (mononuclear cells + ; giant cells - ) |
|
| Tenosynovial giant cell tumor (negative) |
|
| Aneurysmal bone cyst (negative) |
|
|
References
|
|
| H3K27M |
H3K27M |
|
| Clone (Vendor) |
Positive In |
Negative In |
|
Rabbit monoclonal RM192 (RevMab Biosciences)
Open Datasheet
|
--
|
--
|
Staining Pattern
--
Decalcified Tissue Validated
No
Cell Block Validated
No
|
Images
No Images Available
|
References
No References Available
|
|
| H3K27me3 |
H3K27me3 |
|
| Clone (Vendor) |
Positive In |
Negative In |
|
Rabbit monoclonal C36B11 (Cell Signaling)
Open Datasheet
|
(Retained expression) Normal tissues
|
(Loss of expression) Subset of malignant peripheral nerve sheath tumors (MPNST), H3K27M-mutant gliomas, ependymomas (PFA), subset of meningiomas, subset of melanomas
|
Staining Pattern
Nuclear
Decalcified Tissue Validated
No
Cell Block Validated
No
|
Images
| MPNST (loss of expression with retained expression in non-neoplastic internal controls (i.e. endothelia, immune cells) |
|
| MPNST |
|
| H3K27M-mutant diffuse glioma (non-neoplastic glia and neurons are positive or “retained”, while tumor cells have lost nuclear expression) |
|
| H3K27M-mutant diffuse glioma |
|
|
References
|
|
| H3K36M |
H3.3 K36M *Not available as Tech Only* |
|
| Clone (Vendor) |
Positive In |
Negative In |
|
Rabbit monoclonal RM193 (RevMAb)
Open Datasheet
|
Chondroblastoma
|
Everything else (e.g. giant cell tumor, aneurysmal bone cyst, osteosarcoma, osteoblastoma, etc.)
|
Staining Pattern
Nuclear
Decalcified Tissue Validated
Yes
Cell Block Validated
No
|
Images
| Chondroblastoma: (giant cells are negative) |
|
| Chondroblastoma: (giant cells are negative) |
|
| Giant cell tumor of bone: (focal hemosiderin pigment only) |
|
|
References
|
|
| HCG |
HCG |
|
| Clone (Vendor) |
Positive In |
Negative In |
|
Rabbit polyclonal (Ventana/Cell Marque)
Open Datasheet
|
--
|
--
|
Staining Pattern
cytoplasmic
Decalcified Tissue Validated
No
Cell Block Validated
No
|
Images
No Images Available
|
References
No References Available
|
|
| HEMOA |
Hemoglobin A |
|
| Clone (Vendor) |
Positive In |
Negative In |
|
Rabbit monoclonal EPR3608 (Cell Marque)
Open Datasheet
|
--
|
--
|
Staining Pattern
--
Decalcified Tissue Validated
No
Cell Block Validated
No
|
Images
No Images Available
|
References
No References Available
|
|
| HEPAT |
Hepatocyte |
|
| Clone (Vendor) |
Positive In |
Negative In |
|
Mouse monoclonal OCH1E5 (Dako)
Open Datasheet
|
--
|
--
|
Staining Pattern
--
Decalcified Tissue Validated
No
Cell Block Validated
No
|
Images
No Images Available
|
References
No References Available
|
|
| HEPCORE |
Hepatitis B Core |
|
| Clone (Vendor) |
Positive In |
Negative In |
|
Rabbit polyclonal (Cell Marque)
Open Datasheet
|
--
|
--
|
Staining Pattern
--
Decalcified Tissue Validated
No
Cell Block Validated
No
|
Images
No Images Available
|
References
No References Available
|
|
| HEPSURF |
Hepatitis B Surface |
|
| Clone (Vendor) |
Positive In |
Negative In |
|
Mouse monoclonal A10F1 (Cell Marque)
Open Datasheet
|
--
|
--
|
Staining Pattern
--
Decalcified Tissue Validated
No
Cell Block Validated
No
|
Images
No Images Available
|
References
No References Available
|
|
| HER-2 |
Her-2/neu |
|
| Clone (Vendor) |
Positive In |
Negative In |
|
Rabbit monoclonal 4B5 (Ventana)
Open Datasheet
|
--
|
--
|
Staining Pattern
--
Decalcified Tissue Validated
No
Cell Block Validated
Yes
|
Images
No Images Available
|
References
No References Available
|
|
| HHV8 |
HHV8 |
|
| Clone (Vendor) |
Positive In |
Negative In |
|
Mouse monoclonal 13B10 (Cell Marque)
Open Datasheet
|
--
|
--
|
Staining Pattern
--
Decalcified Tissue Validated
No
Cell Block Validated
No
|
Images
No Images Available
|
References
No References Available
|
|
| HMB-45 |
Melanosome (HMB45) |
|
| Clone (Vendor) |
Positive In |
Negative In |
|
Mouse monoclonal HMB45 (Ventana)
Open Datasheet
|
--
|
--
|
Staining Pattern
--
Decalcified Tissue Validated
yes
Cell Block Validated
yes
|
Images
No Images Available
|
References
No References Available
|
|
| HNF1B |
Hepatocyte nuclear factor-1 beta *Not available as Tech Only* |
|
| Clone (Vendor) |
Positive In |
Negative In |
|
Mouse monoclonal 12A5.1 (Sigma-Aldrich)
Open Datasheet
|
Ovarian and endometrial clear cell carcinoma, clear cell adenocarcinoma of the urinary tract, yolk sac tumor, clear cell renal cell carcinoma (RCC), papillary RCC, cholangiocarcinoma; normal renal tubules, colonic and gastric mucosae
|
Most serous and endometroid carcinomas (negative or weak expression), most germ cell tumors other than yolk sac tumor, hepatocellular carcinoma, bladder adenocarcinomas other than clear cell adenocarcinoma
|
Staining Pattern
Nuclear
Decalcified Tissue Validated
No
Cell Block Validated
Yes
|
Images
| Ovarian clear cell carcinoma |
|
| Serous carcinoma |
|
| Endometrioid carcinoma (weak staining) |
|
| Yolk sac tumor |
|
| Clear cell RCC |
|
|
References
|
|
| HSV1/2 |
HSV1 and HSV2 cocktail |
|
| Clone (Vendor) |
Positive In |
Negative In |
|
10A3 & 3C5.2
Open Datasheet
|
Cells infected by HSV1 or HSV2
|
--
|
Staining Pattern
Nuclear and/or cytoplasmic
Decalcified Tissue Validated
No
Cell Block Validated
Yes
|
Images
| Herpetic vesicle |
|
|
References
No References Available
|
|
| ICOS |
Inducible co-stimulator, CD278 |
|
| Clone (Vendor) |
Positive In |
Negative In |
|
Rabbit monoclonal D1K2T (Cell Signaling)
Open Datasheet
|
Follicular helper T cells, angioimmunoblastic T-cell lymphoma (AITL), primary cutaneous CD4+ small/medium T-cell lymphoproliferative disorder
|
--
|
Staining Pattern
Membranous/Cytoplasmic
Decalcified Tissue Validated
Yes
Cell Block Validated
No
|
Images
| ICOS |
|
| ICOS |
|
|
References
|
|
| IDH1 |
IDH-1 |
|
| Clone (Vendor) |
Positive In |
Negative In |
|
Rabbit monoclonal MRQ-67 (Cell Marque)
Open Datasheet
|
IDH1 R132H mutant glioma
|
--
|
Staining Pattern
Cytoplasmic +/- nuclear
Decalcified Tissue Validated
No
Cell Block Validated
No
|
Images
| IDH1 mutant glioma |
|
| IDH1 mutant glioma |
|
|
References
|
|
| IGA-HC |
IgA |
|
| Clone (Vendor) |
Positive In |
Negative In |
|
Rabbit polyclonal (Cell Marque)
Open Datasheet
|
--
|
--
|
Staining Pattern
cytoplasmic
Decalcified Tissue Validated
yes
Cell Block Validated
no
|
Images
No Images Available
|
References
No References Available
|
|
| IGD-HC |
IgD |
|
| Clone (Vendor) |
Positive In |
Negative In |
|
Rabbit polyclonal (Ventana)
Open Datasheet
|
--
|
--
|
Staining Pattern
--
Decalcified Tissue Validated
No
Cell Block Validated
No
|
Images
No Images Available
|
References
No References Available
|
|
| IGF2 |
IGF2 (Insulin-like growth factor 2) |
|
| Clone (Vendor) |
Positive In |
Negative In |
|
Mouse monoclonal S1F2 (Millipore)
Open Datasheet
|
Adrenocortical carcinoma, normal adrenal medulla
|
Adrenocortical adenoma, normal adrenal cortex
|
Staining Pattern
Cytoplasmic, often with “juxtanuclear Golgi” pattern in adrenocortical carcinoma
Decalcified Tissue Validated
No
Cell Block Validated
No
|
Images
| Adrenocortical carcinoma |
|
| Adrenocortical carcinoma |
|
| Adrenocortical adenoma (normal medulla at bottom) |
|
|
References
|
|
| IGG-HC |
IgG |
|
| Clone (Vendor) |
Positive In |
Negative In |
|
Rabbit polyclonal (Ventana)
Open Datasheet
|
--
|
--
|
Staining Pattern
--
Decalcified Tissue Validated
No
Cell Block Validated
No
|
Images
No Images Available
|
References
No References Available
|
|
| IGG4 |
IgG4 |
|
| Clone (Vendor) |
Positive In |
Negative In |
|
Mouse monoclonal MRQ-44 (Ventana)
Open Datasheet
|
--
|
--
|
Staining Pattern
--
Decalcified Tissue Validated
No
Cell Block Validated
No
|
Images
No Images Available
|
References
No References Available
|
|
| IGM-HC |
IgM |
|
| Clone (Vendor) |
Positive In |
Negative In |
|
Rabbit polyclonal (Ventana)
Open Datasheet
|
--
|
--
|
Staining Pattern
--
Decalcified Tissue Validated
No
Cell Block Validated
No
|
Images
No Images Available
|
References
No References Available
|
|
| INHIB |
Inhibin, alpha |
|
| Clone (Vendor) |
Positive In |
Negative In |
|
|
Rabbit monoclonal MRQ-63 (Ventana)
|
--
|
--
|
Staining Pattern
--
Decalcified Tissue Validated
No
Cell Block Validated
Yes
|
Images
No Images Available
|
References
No References Available
|
|
| INI-1 |
INI-1 |
|
| Clone (Vendor) |
Positive In |
Negative In |
|
Mouse monoclonal MRQ-27 (Ventana)
Open Datasheet
|
--
|
--
|
Staining Pattern
--
Decalcified Tissue Validated
No
Cell Block Validated
No
|
Images
No Images Available
|
References
No References Available
|
|
| INSM1 |
Insulinoma-associated protein 1 |
|
| Clone (Vendor) |
Positive In |
Negative In |
|
Rabbit monoclonal MRQ-70 (Cell Marque)
Open Datasheet
|
Neuroendocrine tumors, normal neuroendocrine cells
|
--
|
Staining Pattern
Nuclear
Decalcified Tissue Validated
Yes
Cell Block Validated
Yes
|
Images
| Small Cell Carcinoma |
|
| Neuroblastoma |
|
|
References
|
|
| KAPPA-HC |
Kappa-HC |
|
| Clone (Vendor) |
Positive In |
Negative In |
|
Mouse monoclonal (L1C1) Biocare
Open Datasheet
|
--
|
--
|
Staining Pattern
--
Decalcified Tissue Validated
Yes
Cell Block Validated
Yes
|
Images
No Images Available
|
References
No References Available
|
|
| KI-67 |
Ki-67 |
|
| Clone (Vendor) |
Positive In |
Negative In |
|
Rabbit monoclonal 30-9 (Ventana)
Open Datasheet
|
--
|
--
|
Staining Pattern
--
Decalcified Tissue Validated
No
Cell Block Validated
No
|
Images
No Images Available
|
References
No References Available
|
|
| KI-67 BRST COREO |
KI-67 BRST COREO *Not available as Tech Only* |
|
| Clone (Vendor) |
Positive In |
Negative In |
|
MIB-1
Open Datasheet
|
--
|
--
|
Staining Pattern
Nuclear
Decalcified Tissue Validated
No
Cell Block Validated
No
|
Images
No Images Available
|
References
No References Available
|
|
| L1CAM |
L1CAM (L1 cell adhesion molecule) |
|
| Clone (Vendor) |
Positive In |
Negative In |
|
Mouse monoclonal UJ127.11 (Abcam)
Open Datasheet
|
Papillary renal neoplasm of reverse polarity, low-grade oncocytic tumor (LOT) of kidney, hybrid oncocytic tumor (HOT) and RCC in Birt-Hogg-Dube syndrome; normal distal tubules and collecting ducts
|
Majority of papillary RCC, chromophobe RCC, oncocytoma
|
Staining Pattern
Membranous
Decalcified Tissue Validated
No
Cell Block Validated
No
|
Images
| Papillary renal neoplasm of reverse polarity |
|
| Low-grade oncocytic tumor (LOT) |
|
| Normal kidney (positive in distal tubules and collecting ducts) |
|
|
References
|
|
| LAMBDA-HC |
Lambda-HC |
|
| Clone (Vendor) |
Positive In |
Negative In |
|
Mouse monoclonal (N10/2) Biocare
Open Datasheet
|
--
|
--
|
Staining Pattern
--
Decalcified Tissue Validated
Yes
Cell Block Validated
Yes
|
Images
No Images Available
|
References
No References Available
|
|
| LAMINA/C |
Lamin A/C *Not available as Tech Only* |
|
| Clone (Vendor) |
Positive In |
Negative In |
|
Mouse monoclonal E1 (Santa Cruz)
Open Datasheet
|
--
|
--
|
Staining Pattern
--
Decalcified Tissue Validated
No
Cell Block Validated
No
|
Images
No Images Available
|
References
No References Available
|
|
| LAMININ |
Laminin-B1 *Not available as Tech Only* |
|
| Clone (Vendor) |
Positive In |
Negative In |
|
Mouse monoclonal 4E10 (Millipore)
Open Datasheet
|
--
|
--
|
Staining Pattern
--
Decalcified Tissue Validated
No
Cell Block Validated
No
|
Images
No Images Available
|
References
No References Available
|
|
| Langerin (CD207) |
Langerin (CD207) |
|
| Clone (Vendor) |
Positive In |
Negative In |
|
Rabbit monoclonal EPR15863 (Abcam)
Open Datasheet
|
Langerhans cell histiocytosis, Langerhans cell sarcoma, normal/reactive Langerhans cells
|
Indeterminate cell histiocytosis, other non-Langerhans cell tumors
|
Staining Pattern
Cytoplasmic with membranous and Golgi accentuation
Decalcified Tissue Validated
Yes
Cell Block Validated
Yes
|
Images
| Langerin |
|
| Langerin |
|
|
References
|
|
| LEF1 |
LEF1 (Lymphoid enhancer-binding factor 1) |
|
| Clone (Vendor) |
Positive In |
Negative In |
|
Rabbit monoclonal (Cell Marque EP310)
Open Datasheet
|
Chronic lymphocytic leukemia/small lymphocytic lymphoma, normal T cells
|
--
|
Staining Pattern
Nuclear
Decalcified Tissue Validated
Yes
Cell Block Validated
Yes
|
Images
| LEF1 |
|
| LEF1 |
|
|
References
|
|
| LFABP |
LFABP |
|
| Clone (Vendor) |
Positive In |
Negative In |
|
Mouse monoclonal 2G4 (Abcam)
Open Datasheet
|
--
|
--
|
Staining Pattern
--
Decalcified Tissue Validated
No
Cell Block Validated
No
|
Images
No Images Available
|
References
No References Available
|
|
| LH |
LH |
|
| Clone (Vendor) |
Positive In |
Negative In |
|
Rabbit polyclonal (Ventana)
Open Datasheet
|
--
|
--
|
Staining Pattern
--
Decalcified Tissue Validated
Yes
Cell Block Validated
No
|
Images
No Images Available
|
References
No References Available
|
|
| LYSO |
Lysozyme |
|
| Clone (Vendor) |
Positive In |
Negative In |
|
Rabbit polyclonal (Ventana)
Open Datasheet
|
--
|
--
|
Staining Pattern
--
Decalcified Tissue Validated
No
Cell Block Validated
No
|
Images
No Images Available
|
References
No References Available
|
|
| MAMGLBN |
Mammaglobin |
|
| Clone (Vendor) |
Positive In |
Negative In |
|
Rabbit monoclonal 31A5 (Ventana)
Open Datasheet
|
--
|
--
|
Staining Pattern
--
Decalcified Tissue Validated
Yes
Cell Block Validated
No
|
Images
No Images Available
|
References
No References Available
|
|
| MAP2 |
Microtubule-associated protein-2 *Not available as Tech Only* |
|
| Clone (Vendor) |
Positive In |
Negative In |
|
HM-2
Open Datasheet
|
Majority of glial tumors and neuronal component of glioneuronal tumors, such as ganglioglioma; normal brain cortex and cortical dysplasia*
|
Ependymomas and meningiomas; metastatic and non-neuroepithelial tumors (except some melanomas and small cell lung cancers)
|
Staining Pattern
Cytoplasmic
Decalcified Tissue Validated
No
Cell Block Validated
No
|
Images
| Ganglioneuroma – MAP2 positive in large ganglion cells |
|
| Normal brain cortex (top right = grey matter, lower left = subcortical white matter) |
|
| Focal cortical dysplasia (ILAE Type IIb) – dark staining in large neurons |
|
| Ependymoma |
|
|
References
|
|
| MC TRYP |
Mast Cell Tryptase |
|
| Clone (Vendor) |
Positive In |
Negative In |
|
Mouse monoclonal G3 (Cell Marque/Ventana)
Open Datasheet
|
--
|
--
|
Staining Pattern
cytoplasmic
Decalcified Tissue Validated
Yes
Cell Block Validated
No
|
Images
No Images Available
|
References
No References Available
|
|
| MDM2 |
MDM2 |
|
| Clone (Vendor) |
Positive In |
Negative In |
|
Mouse monoclonal IF2 (Cell Marque)
Open Datasheet
|
--
|
--
|
Staining Pattern
No
Decalcified Tissue Validated
No
Cell Block Validated
No
|
Images
No Images Available
|
References
No References Available
|
|
| MELAN A |
Melan A |
|
| Clone (Vendor) |
Positive In |
Negative In |
|
Mouse monoclonal A103 (Dako)
Open Datasheet
|
--
|
--
|
Staining Pattern
--
Decalcified Tissue Validated
Yes
Cell Block Validated
Yes
|
Images
No Images Available
|
References
No References Available
|
|
| MELAN A2 |
MART1 *Not available as Tech Only* |
|
| Clone (Vendor) |
Positive In |
Negative In |
|
Mouse monoclonal M2-7C10 (Cell Marque)
Open Datasheet
|
--
|
--
|
Staining Pattern
--
Decalcified Tissue Validated
No
Cell Block Validated
No
|
Images
No Images Available
|
References
No References Available
|
|
| Merlin |
Merlin (Neurofibromin-2) |
|
| Clone (Vendor) |
Positive In |
Negative In |
|
Rabbit monoclonal D3S3W (Cell Signaling)
Open Datasheet
|
--
|
LOSS of expression in: NF2-mutant tumors including mesothelioma, biphasic hyalinizing psammomatous renal cell carcinoma
|
Staining Pattern
Cytoplasmic
Decalcified Tissue Validated
No
Cell Block Validated
No
|
Images
| NF2-mutant mesothelioma |
|
|
References
|
|
| MEROSIN |
Merosin *Not available as Tech Only* |
|
| Clone (Vendor) |
Positive In |
Negative In |
|
Mouse monoclonal Mer3/22B2 (Leica)
Open Datasheet
|
--
|
--
|
Staining Pattern
--
Decalcified Tissue Validated
No
Cell Block Validated
No
|
Images
No Images Available
|
References
No References Available
|
|
| MHC1 |
HLA-ABC (MHC1) *Not available as Tech Only* |
|
| Clone (Vendor) |
Positive In |
Negative In |
|
Mouse monoclonal W6/32 (Abcam)
Open Datasheet
|
--
|
--
|
Staining Pattern
--
Decalcified Tissue Validated
No
Cell Block Validated
No
|
Images
No Images Available
|
References
No References Available
|
|
| MITF |
MITF |
|
| Clone (Vendor) |
Positive In |
Negative In |
|
Mouse monoclonal C5/D5 (Cell Marque)
Open Datasheet
|
--
|
--
|
Staining Pattern
--
Decalcified Tissue Validated
Yes
Cell Block Validated
Yes
|
Images
No Images Available
|
References
No References Available
|
|
| MLH1 |
MLH1 |
|
| Clone (Vendor) |
Positive In |
Negative In |
|
Mouse monoclonal M1 (Ventana)
Open Datasheet
|
--
|
--
|
Staining Pattern
--
Decalcified Tissue Validated
No
Cell Block Validated
No
|
Images
No Images Available
|
References
No References Available
|
|
| MNF116 |
Cytokeratin, MNF116 |
|
| Clone (Vendor) |
Positive In |
Negative In |
|
Mouse monoclonal MNF116 (Dako)
Open Datasheet
|
--
|
--
|
Staining Pattern
--
Decalcified Tissue Validated
No
Cell Block Validated
No
|
Images
No Images Available
|
References
No References Available
|
|
| MOC-31 |
MOC-31 |
|
| Clone (Vendor) |
Positive In |
Negative In |
|
Mouse monoclonal MOC31 (Cell Marque)
Open Datasheet
|
--
|
--
|
Staining Pattern
--
Decalcified Tissue Validated
No
Cell Block Validated
No
|
Images
No Images Available
|
References
No References Available
|
|
| MS ACTIN |
Actin, Muscle Specific |
|
| Clone (Vendor) |
Positive In |
Negative In |
|
Mouse monoclonal HHF35 (Ventana)
Open Datasheet
|
--
|
--
|
Staining Pattern
--
Decalcified Tissue Validated
No
Cell Block Validated
No
|
Images
No Images Available
|
References
No References Available
|
|
| MSH2 |
MSH2 |
|
| Clone (Vendor) |
Positive In |
Negative In |
|
Mouse monoclonal G219-1129 (Ventana)
Open Datasheet
|
--
|
--
|
Staining Pattern
--
Decalcified Tissue Validated
No
Cell Block Validated
No
|
Images
No Images Available
|
References
No References Available
|
|
| MSH6 |
MSH6 |
|
| Clone (Vendor) |
Positive In |
Negative In |
|
Rabbit monoclonal SP93 (Ventana)
Open Datasheet
|
--
|
--
|
Staining Pattern
--
Decalcified Tissue Validated
No
Cell Block Validated
No
|
Images
No Images Available
|
References
No References Available
|
|
| MTAP |
Methylthioadenosine phosphorylase *Not available as Tech Only* |
|
| Clone (Vendor) |
Positive In |
Negative In |
|
Mouse monoclonal 42-T (Santa Cruz Biotechnology)
Open Datasheet
|
(Retained expression) Benign mesothelial hyperplasia, neoplasms without 9p21 loss, normal tissues
|
(Loss of expression) Mesotheliomas with homozygous 9p21 (CDKN2A/MTAP) deletion
|
Staining Pattern
Cytoplasmic +/- nuclear
Decalcified Tissue Validated
Yes
Cell Block Validated
Yes
|
Images
| Mesotheliomas with 9p21 deletion (FFPE) |
|
| Mesothelioma with 9p21 deletion (cell block) |
|
| Mesothelioma without 9p21 deletion (FFPE) |
|
| Mesothelioma without 9p21 deletion (cell block) |
|
| Papillary mesothelial hyperplasia |
|
|
References
|
|
| MUC2 |
MUC2 |
|
| Clone (Vendor) |
Positive In |
Negative In |
|
Mouse monoclonal MRQ-18 (Ventana)
Open Datasheet
|
--
|
--
|
Staining Pattern
--
Decalcified Tissue Validated
No
Cell Block Validated
No
|
Images
No Images Available
|
References
No References Available
|
|
| MUC4 |
Mucin 4 |
|
| Clone (Vendor) |
Positive In |
Negative In |
|
Mouse monoclonal 8G7 (Cell Marque)
Open Datasheet
|
--
|
--
|
Staining Pattern
--
Decalcified Tissue Validated
No
Cell Block Validated
No
|
Images
No Images Available
|
References
No References Available
|
|
| MUC5AC |
MUC5AC |
|
| Clone (Vendor) |
Positive In |
Negative In |
|
Mouse monoclonal MRQ-19 (Ventana)
Open Datasheet
|
--
|
--
|
Staining Pattern
--
Decalcified Tissue Validated
No
Cell Block Validated
No
|
Images
No Images Available
|
References
No References Available
|
|
| MUC6 |
MUC6 |
|
| Clone (Vendor) |
Positive In |
Negative In |
|
Mouse monoclonal MRQ-20 (Ventana)
Open Datasheet
|
--
|
--
|
Staining Pattern
--
Decalcified Tissue Validated
No
Cell Block Validated
No
|
Images
No Images Available
|
References
No References Available
|
|
| MUM1 |
MUM1 |
|
| Clone (Vendor) |
Positive In |
Negative In |
|
Rabbit monoclonal EP190 (Cell Marque)
Open Datasheet
|
--
|
--
|
Staining Pattern
--
Decalcified Tissue Validated
Yes
Cell Block Validated
Yes
|
Images
No Images Available
|
References
No References Available
|
|
| MX1 |
MX1 *Not available as Tech Only* |
|
| Clone (Vendor) |
Positive In |
Negative In |
|
Rabbit Polyclonal (Abcam)
Open Datasheet
|
--
|
--
|
Staining Pattern
--
Decalcified Tissue Validated
No
Cell Block Validated
No
|
Images
No Images Available
|
References
No References Available
|
|
| MYB |
MYB |
|
| Clone (Vendor) |
Positive In |
Negative In |
|
Rabbit monoclonal EP769Y (Abcam)
Open Datasheet
|
Adenoid cystic carcinoma with MYB rearrangement (~80% of cases); subset of normal lymphocytes
|
Most other salivary gland, breast, and cutaneous adenocarcinomas
|
Staining Pattern
Nuclear
Decalcified Tissue Validated
Yes
Cell Block Validated
Yes
|
Images
| Adenoid cystic carcinomas--staining tends to be accentuated in myoepithelial cells: |
|
| Adenoid cystic carcinomas--staining tends to be accentuated in myoepithelial cells: |
|
|
References
|
|
| MYELIN |
Myelin Basic Protein |
|
| Clone (Vendor) |
Positive In |
Negative In |
|
Rabbit monoclonal EP207 (BioSB)
Open Datasheet
|
--
|
--
|
Staining Pattern
--
Decalcified Tissue Validated
No
Cell Block Validated
No
|
Images
No Images Available
|
References
No References Available
|
|
| MYELO |
Myeloperoxidase |
|
| Clone (Vendor) |
Positive In |
Negative In |
|
Rabbit polyclonal (Ventana)
Open Datasheet
|
--
|
--
|
Staining Pattern
--
Decalcified Tissue Validated
No
Cell Block Validated
No
|
Images
No Images Available
|
References
No References Available
|
|
| MyoD1 |
MyoD1 |
|
| Clone (Vendor) |
Positive In |
Negative In |
|
Rabbit monoclonal EP212 (Roche)
Open Datasheet
|
Rhabdomyosarcoma, fetal skeletal muscles
|
--
|
Staining Pattern
Nuclear
Decalcified Tissue Validated
No
Cell Block Validated
No
|
Images
| MyoD1 |
|
| MyoD1 |
|
|
References
|
|
| MYOGEN |
Myogenin |
|
| Clone (Vendor) |
Positive In |
Negative In |
|
Mouse monoclonal F5D (Ventana)
Open Datasheet
|
--
|
--
|
Staining Pattern
--
Decalcified Tissue Validated
No
Cell Block Validated
No
|
Images
No Images Available
|
References
No References Available
|
|
| MYOGLOB |
Myoglobin |
|
| Clone (Vendor) |
Positive In |
Negative In |
|
Rabbit polyclonal (Cell Marque)
Open Datasheet
|
--
|
--
|
Staining Pattern
cytoplasmic
Decalcified Tissue Validated
no
Cell Block Validated
no
|
Images
No Images Available
|
References
No References Available
|
|
| MYOTILN |
Myotilin *Not available as Tech Only* |
|
| Clone (Vendor) |
Positive In |
Negative In |
|
Mouse monoclonal RS034 (Leica)
Open Datasheet
|
--
|
--
|
Staining Pattern
--
Decalcified Tissue Validated
No
Cell Block Validated
No
|
Images
No Images Available
|
References
No References Available
|
|
| NAPSIN |
Napsin A |
|
| Clone (Vendor) |
Positive In |
Negative In |
|
Mouse monoclonal IP64 (Leica)
Open Datasheet
|
--
|
--
|
Staining Pattern
--
Decalcified Tissue Validated
No
Cell Block Validated
No
|
Images
No Images Available
|
References
No References Available
|
|
| NESTIN |
Nestin |
|
| Clone (Vendor) |
Positive In |
Negative In |
|
Mouse monoclonal 10C2 (Thermo/Invitrogen)
Open Datasheet
|
--
|
--
|
Staining Pattern
--
Decalcified Tissue Validated
No
Cell Block Validated
No
|
Images
No Images Available
|
References
No References Available
|
|
| NEUN |
NeuN |
|
| Clone (Vendor) |
Positive In |
Negative In |
|
Mouse monoclonal A60 (Millipore)
Open Datasheet
|
--
|
--
|
Staining Pattern
--
Decalcified Tissue Validated
No
Cell Block Validated
No
|
Images
No Images Available
|
References
No References Available
|
|
| NEUROFIL |
Neurofilament |
|
| Clone (Vendor) |
Positive In |
Negative In |
|
Mouse monoclonal 2F11 (Ventana)
Open Datasheet
|
--
|
--
|
Staining Pattern
--
Decalcified Tissue Validated
No
Cell Block Validated
No
|
Images
No Images Available
|
References
No References Available
|
|
| NGFR |
NGFR |
|
| Clone (Vendor) |
Positive In |
Negative In |
|
Mouse monoclonal MRQ-21(Cell Marque)
Open Datasheet
|
--
|
--
|
Staining Pattern
--
Decalcified Tissue Validated
No
Cell Block Validated
No
|
Images
No Images Available
|
References
No References Available
|
|
| NKI/C3 |
NKI/C3 |
|
| Clone (Vendor) |
Positive In |
Negative In |
|
Mouse monoclonal NKI/C3 (BioGenex)
Open Datasheet
|
--
|
--
|
Staining Pattern
--
Decalcified Tissue Validated
No
Cell Block Validated
No
|
Images
No Images Available
|
References
No References Available
|
|
| NKX3.1 |
NKX3.1 |
|
| Clone (Vendor) |
Positive In |
Negative In |
|
Rabbit Monoclonal EP356 (Cell Marque)
Open Datasheet
|
--
|
--
|
Staining Pattern
--
Decalcified Tissue Validated
Yes
Cell Block Validated
Yes
|
Images
No Images Available
|
References
No References Available
|
|
| NSE |
NSE |
|
| Clone (Vendor) |
Positive In |
Negative In |
|
Mouse monoclonal MRQ-55 (Ventana)
Open Datasheet
|
--
|
--
|
Staining Pattern
--
Decalcified Tissue Validated
No
Cell Block Validated
No
|
Images
No Images Available
|
References
No References Available
|
|
| NUT |
NUT |
|
| Clone (Vendor) |
Positive In |
Negative In |
|
Rabbit monoclonal C52B1 (Cell Signaling Technology)
Open Datasheet
|
NUT carcinoma; some germ cell tumors (focal/weak); normal spermatids
|
--
|
Staining Pattern
Nuclear (speckled)
Decalcified Tissue Validated
No
Cell Block Validated
No
|
Images
| NUT |
|
| NUT |
|
|
References
|
|
| Oct-2 |
Oct-2 |
|
| Clone (Vendor) |
Positive In |
Negative In |
|
Mouse monoclonal MRQ-2 (Ventana)
Open Datasheet
|
--
|
--
|
Staining Pattern
--
Decalcified Tissue Validated
Yes
Cell Block Validated
No
|
Images
No Images Available
|
References
No References Available
|
|
| Oct-4 |
Oct-4 |
|
| Clone (Vendor) |
Positive In |
Negative In |
|
Mouse monoclonal MRQ-10 (Ventana)
Open Datasheet
|
--
|
--
|
Staining Pattern
--
Decalcified Tissue Validated
No
Cell Block Validated
No
|
Images
No Images Available
|
References
No References Available
|
|
| Olig2 |
Oligodendrocyte transcription factor 2 |
|
| Clone (Vendor) |
Positive In |
Negative In |
|
Rabbit monoclonal EP112 (Ventana/Cell Marque)
Open Datasheet
|
Normal oligodendrocytes, oligodendroglial tumors, many astrocytic tumors (variable positivity), dysembryoplastic neuroepitheial tumors (DNET), fusion-positive alveolar rhabdomyosarcomas
|
Majority of ependymomas and central neurocytomas (mostly or entirely negative), non-neural CNS tumors, fusion-negative rhabdomyosarcomas
|
Staining Pattern
Nuclear
Decalcified Tissue Validated
No
Cell Block Validated
No
|
Images
|
References
|
|
| P120 |
p120 catenin |
|
| Clone (Vendor) |
Positive In |
Negative In |
|
Mouse monoclonal 98 (Ventana)
Open Datasheet
|
Membranous staining: Most normal epithelia and carcinomas, including conventional urothelial carcinoma, breast ductal carcinoma; Cytoplasmic staining: Plasmacytoid urothelial carcinoma, breast lobular carcinoma, diffuse-type gastric carcinoma
|
--
|
Staining Pattern
Membranous or cytoplasmic
Decalcified Tissue Validated
No
Cell Block Validated
No
|
Images
| Conventional urothelial carcinoma (membranous) |
|
| Plasmacytoid urothelial carcinoma (cytoplasmic) |
|
| Plasmacytoid urothelial carcinoma (cytoplasmic) |
|
| Ductal carcinoma (membranous) |
|
|
References
|
|
| P16 |
p16 |
|
| Clone (Vendor) |
Positive In |
Negative In |
|
Mouse monoclonal E6H4 (Ventana)
Open Datasheet
|
--
|
--
|
Staining Pattern
--
Decalcified Tissue Validated
No
Cell Block Validated
Yes
|
Images
No Images Available
|
References
No References Available
|
|
| p40 |
p40 |
|
| Clone (Vendor) |
Positive In |
Negative In |
|
Rabbit monoclonal SP225 (Ventana)
Open Datasheet
|
Squamous cell carcinoma, other tumors with squamous or myoepithelial differentiation; normal squamous and myoepithelial cells
|
Adenocarcinoma, other tumors without squamous or myoepithelial differentiation
|
Staining Pattern
Nuclear
Decalcified Tissue Validated
Yes
Cell Block Validated
Yes
|
Images
| Squamous cell carcinoma |
|
| Squamous cell carcinoma (cell block) |
|
|
References
|
|
| P53 |
p53 |
|
| Clone (Vendor) |
Positive In |
Negative In |
|
Mouse monoclonal DO-7 (Agilent)
Open Datasheet
|
--
|
--
|
Staining Pattern
--
Decalcified Tissue Validated
Yes
Cell Block Validated
Yes
|
Images
No Images Available
|
References
No References Available
|
|
| P57 |
p57 |
|
| Clone (Vendor) |
Positive In |
Negative In |
|
Mouse monoclonal Kp10 (Ventana)
Open Datasheet
|
--
|
--
|
Staining Pattern
--
Decalcified Tissue Validated
No
Cell Block Validated
No
|
Images
No Images Available
|
References
No References Available
|
|
| P62 |
p62 (SQSTM1) |
|
| Clone (Vendor) |
Positive In |
Negative In |
|
Mouse monoclonal M01 (Abnova)
Open Datasheet
|
Accumulates in neurofibrillary tangles and in Lewy bodies of neurons from individuals with Alzheimer and Parkinson disease respectively. Enriched in Rosenthal fibers of pilocytic astrocytoma.
|
--
|
Staining Pattern
Cytoplasm; Late endosome; Nucleus; Sarcomere
Decalcified Tissue Validated
No
Cell Block Validated
No
|
Images
| P62 in ADNC |
|
| Immune-mediated necrotizing myopathy |
|
|
References
|
|
| P63 |
p63 |
|
| Clone (Vendor) |
Positive In |
Negative In |
|
Mouse monoclonal 4A4 (Ventana)
Open Datasheet
|
--
|
--
|
Staining Pattern
--
Decalcified Tissue Validated
No
Cell Block Validated
No
|
Images
No Images Available
|
References
No References Available
|
|
| Pan-TRK |
Pan-TRK (NTRK1/2/3) |
|
| Clone (Vendor) |
Positive In |
Negative In |
|
Rabbit monoclonal EPR17341 (Ventana)
Open Datasheet
|
Tumors with NTRK1, NTRK2, or NTRK3 gene fusion, e.g. secretory carcinoma of breast and salivary gland (nuclear)*, lipofibromatosis-like neural tumor, infantile fibrosarcoma, other NTRK-rearranged sarcomas**; subset of various carcinomas, melanoma, and glioblastoma; normal nerves
|
--
|
Staining Pattern
Nuclear and/or cytoplasmic (depending on specific translocations)
Decalcified Tissue Validated
Yes
Cell Block Validated
Yes
|
Images
| NTRK1-rearranged tumor of colon |
|
| Secretory carcinoma of salivary gland |
|
| NTRK1-rearranged NSCLC (cytology) |
|
|
References
|
|
| PARVO |
Parvovirus |
|
| Clone (Vendor) |
Positive In |
Negative In |
|
Mouse monoclonal R92F6 (Cell Marque)
Open Datasheet
|
--
|
--
|
Staining Pattern
--
Decalcified Tissue Validated
No
Cell Block Validated
No
|
Images
No Images Available
|
References
No References Available
|
|
| PAX-2 |
PAX2 |
|
| Clone (Vendor) |
Positive In |
Negative In |
|
Rabbit monoclonal EP235 (Cell Marque)
Open Datasheet
|
--
|
--
|
Staining Pattern
--
Decalcified Tissue Validated
No
Cell Block Validated
No
|
Images
No Images Available
|
References
No References Available
|
|
| PAX-5 |
PAX5 |
|
| Clone (Vendor) |
Positive In |
Negative In |
|
Mouse monoclonal DAKPax5 (Dako)
Open Datasheet
|
--
|
--
|
Staining Pattern
Nuclear
Decalcified Tissue Validated
Yes
Cell Block Validated
Yes
|
Images
No Images Available
|
References
No References Available
|
|
| PAX-8 |
Paired box-8 (monoclonal) |
|
| Clone (Vendor) |
Positive In |
Negative In |
|
Rabbit monoclonal (SP348) Cell Marque
Open Datasheet
|
--
|
--
|
Staining Pattern
nuclear
Decalcified Tissue Validated
Yes
Cell Block Validated
Yes
|
Images
No Images Available
|
References
No References Available
|
|
| PAX-8-POLY |
Paired box-8 (polyclonal, for thymic neoplasms) *Not available as Tech Only* |
|
| Clone (Vendor) |
Positive In |
Negative In |
|
Polyclonal
Open Datasheet
|
Same as monoclonal PAX-8, plus thymic neoplasms
|
--
|
Staining Pattern
Nuclear
Decalcified Tissue Validated
No
Cell Block Validated
No
|
Images
| Thymoma |
|
| Thymoma |
|
|
References
|
|
| PD-1 |
PD-1 |
|
| Clone (Vendor) |
Positive In |
Negative In |
|
Mouse monoclonal NAT105 (Cell Marque)
Open Datasheet
|
--
|
--
|
Staining Pattern
--
Decalcified Tissue Validated
Yes
Cell Block Validated
No
|
Images
No Images Available
|
References
No References Available
|
|
| PD-L1 22C3 |
PD-L1 22C3 |
|
| Clone (Vendor) |
Positive In |
Negative In |
|
Mouse monoclonal 22C3 (Dako)
Open Datasheet
|
Normal tonsillar crypts, syncytiotrophoblasts, and tumor cells and inflammatory cells expressing PD-L1; validated on non-small cell lung carcinoma (NSCLC), gastric/gastroesophageal adenocarcinoma, head & neck squamous cell carcinoma (HNSCC), triple-negative breast carcinoma (TNBC), and cervical carcinoma.
|
|
Staining Pattern
Membranous
Decalcified Tissue Validated
No
Cell Block Validated
Yes (NSCLC only)
|
Images
No Images Available
|
References
No References Available
|
|
| PD-L2 |
PD-L2 (Programmed cell death 1 ligand 2) |
|
| Clone (Vendor) |
Positive In |
Negative In |
|
Mouse monoclonal 366C.9E5 (Millipore Sigma)
Open Datasheet
|
Primary mediastinal large B-cell lymphoma (majority of cases); normal follicular dendritic cells
|
Diffuse large B-cell lymphoma (majority of cases)
|
Staining Pattern
Membranous and cytoplasmic
Decalcified Tissue Validated
No
Cell Block Validated
No
|
Images
| Primary mediastinal large B-cell lymphoma |
|
| Primary mediastinal large B-cell lymphoma |
|
| Diffuse large B-cell lymphoma |
|
| Normal tonsil |
|
|
References
|
|
| PGP9.5 |
PGP9.5 |
|
| Clone (Vendor) |
Positive In |
Negative In |
|
Rabbit polyclonal (Cell Marque)
Open Datasheet
|
--
|
--
|
Staining Pattern
--
Decalcified Tissue Validated
No
Cell Block Validated
No
|
Images
No Images Available
|
References
No References Available
|
|
| PHH3 |
pHH3 |
|
| Clone (Vendor) |
Positive In |
Negative In |
|
Rabbit polyclonal (Ventana)
Open Datasheet
|
--
|
--
|
Staining Pattern
--
Decalcified Tissue Validated
No
Cell Block Validated
No
|
Images
No Images Available
|
References
No References Available
|
|
| PHOX2B |
PHOX2B |
|
| Clone (Vendor) |
Positive In |
Negative In |
|
Rabbit monoclonal EPR14423 (Abcam)
Open Datasheet
|
Peripheral neuroblastic tumors (neuroblastoma, ganglioneuroblastoma, ganglioneuroma); normal ganglion cells
|
Other small blue cell tumors, including olfactory neuroblastoma
|
Staining Pattern
Nuclear
Decalcified Tissue Validated
Yes
Cell Block Validated
Yes
|
Images
| Neuroblastoma |
|
| Neuroblastoma in bone marrow |
|
|
References
|
|
| PIN-4 |
PIN-4 |
|
| Clone (Vendor) |
Positive In |
Negative In |
|
|
Cocktail & SP116 (Mouse/Rabbit; Ventana)
|
--
|
--
|
Staining Pattern
--
Decalcified Tissue Validated
No
Cell Block Validated
No
|
Images
No Images Available
|
References
No References Available
|
|
| PIT1 |
Pit1 |
|
| Clone (Vendor) |
Positive In |
Negative In |
|
Rabbit monoclonal EPR23555-203 (Abcam)
Open Datasheet
|
Somatotroph, lactotroph, and thyrotroph adenomas; normal somatotropes, lactotropes, and thyrotropes
|
Corticotropes and corresponding adenoma
|
Staining Pattern
Nuclear
Decalcified Tissue Validated
Yes
Cell Block Validated
No
|
Images
| GH+/PRL+ adenoma |
|
| ACTH+ adenoma |
|
|
References
|
|
| PLA2R |
Phospholipase A2 receptor 1 (PLA2R1) *Not available as Tech Only* |
|
| Clone (Vendor) |
Positive In |
Negative In |
|
Rabbit Polyclonal
Open Datasheet
|
Enhanced expression of in the glomeruli of patients with primary membranous nephropathy (MN)
|
--
|
Staining Pattern
Membranous
Decalcified Tissue Validated
No
Cell Block Validated
No
|
Images
| PLA2R Frozen IHC POSITIVE |
|
| PLA2R Frozen IHC NEGATIVE |
|
| PLA2R FFPE IHC |
|
|
References
|
|
| PLAG1 |
PLAG1 *Not available as Tech Only* |
|
| Clone (Vendor) |
Positive In |
Negative In |
|
3B7
Open Datasheet
|
Majority of pleomorphic adenomas, apocrine mixed tumors, cutaneous and salivary gland myoepithelial tumors, and lipoblastomas
|
--
|
Staining Pattern
Nuclear
Decalcified Tissue Validated
no
Cell Block Validated
no
|
Images
| Apocrine mixed tumor |
|
| Pleomorphic adenoma |
|
|
References
|
|
| PLAP |
PLAP |
|
| Clone (Vendor) |
Positive In |
Negative In |
|
Rabbit monoclonal SP15 (Cell Marque)
Open Datasheet
|
--
|
--
|
Staining Pattern
cytoplasmic
Decalcified Tissue Validated
no
Cell Block Validated
no
|
Images
No Images Available
|
References
No References Available
|
|
| PMS2 |
PMS2 |
|
| Clone (Vendor) |
Positive In |
Negative In |
|
Mouse monoclonal A16-4 (Ventana)
Open Datasheet
|
--
|
--
|
Staining Pattern
--
Decalcified Tissue Validated
No
Cell Block Validated
No
|
Images
No Images Available
|
References
No References Available
|
|
| POU2F3 |
POU2F3 |
|
| Clone (Vendor) |
Positive In |
Negative In |
|
Mouse monoclonal 6D1 (Santa Cruz)
Open Datasheet
|
Subset of small cell lung carcinoma (SCLC) with low expression of neuroendocrine markers; normal tuft cells and epidermis
|
--
|
Staining Pattern
Nuclear
Decalcified Tissue Validated
No
Cell Block Validated
Yes
|
Images
| Neuroendocrine-low SCLC: |
|
| Neuroendocrine-low SCLC: |
|
|
References
|
|
| POU4F3 |
POU4F3 |
|
| Clone (Vendor) |
Positive In |
Negative In |
|
Mouse monoclonal QQ8 (Santa Cruz)
Open Datasheet
|
Merkel cell carcinoma
|
Small cell carcinoma of other origins, other small blue cell tumors
|
Staining Pattern
Nuclear
Decalcified Tissue Validated
No
Cell Block Validated
Yes
|
Images
| Merkel cell carcinoma (in lymph node) |
|
| Small cell carcinoma of lung |
|
| Olfactory neuroblastoma |
|
|
References
|
|
| PR |
PR |
|
| Clone (Vendor) |
Positive In |
Negative In |
|
|
Rabbit monoclonal 1E2 (Ventana)
|
--
|
--
|
Staining Pattern
--
Decalcified Tissue Validated
No
Cell Block Validated
Yes
|
Images
No Images Available
|
References
No References Available
|
|
| PR-CKTL |
Basal Cell Cocktail |
|
| Clone (Vendor) |
Positive In |
Negative In |
|
Mouse monoclonal 34�E12 + 4A4 (Ventana)
Open Datasheet
|
--
|
--
|
Staining Pattern
--
Decalcified Tissue Validated
No
Cell Block Validated
No
|
Images
No Images Available
|
References
No References Available
|
|
| PRAME |
Preferentially Expressed Antigen in Melanoma |
|
| Clone (Vendor) |
Positive In |
Negative In |
|
Rabbit monoclonal EP461 (Cell Marque)
Open Datasheet
|
Assists in distinction between melanoma (typically PRAME+) and nevus (PRAME-). Also being investigated as a potential therapeutic target and prognostic marker in other cancer types.
|
--
|
Staining Pattern
Nuclear
Decalcified Tissue Validated
Yes
Cell Block Validated
Yes
|
Images
| Melanoma, PRAME |
|
| Nevus, PRAME |
|
| Nodal nevus, PRAME/MART1 |
|
| Melanoma, PRAME/MART1 |
|
| Sebaceous glands may serve as positive internal control for PRAME |
|
|
References
|
|
| PRAP |
PRAP (PSAP) |
|
| Clone (Vendor) |
Positive In |
Negative In |
|
|
Mouse monoclonal PASE/4LJ (Ventana)
|
--
|
--
|
Staining Pattern
--
Decalcified Tissue Validated
No
Cell Block Validated
No
|
Images
No Images Available
|
References
No References Available
|
|
| PREALB |
Prealbumin |
|
| Clone (Vendor) |
Positive In |
Negative In |
|
Rabbit monoclonal (Abcam EPR3219)
Open Datasheet
|
--
|
--
|
Staining Pattern
Cytoplasmic
Decalcified Tissue Validated
No
Cell Block Validated
No
|
Images
No Images Available
|
References
No References Available
|
|
| PRKAR1A (red chromogen) |
PRKAR1A |
|
| Clone (Vendor) |
Positive In |
Negative In |
|
Mouse monoclonal, clone OTI6C7 (Invitrogen)
Open Datasheet
|
RETAINED expression in: Normal cells, non-PEM nevi and melanoma
|
LOSS of expression in: PRKAR1A-inactivated melanocytoma and melanoma
|
Staining Pattern
Cytoplasmic
Decalcified Tissue Validated
No
Cell Block Validated
No
|
Images
| PRKAR1A-inactivated melanocytoma (pigmented epithelioid melanocytoma) |
|
| Non-PEM melanoma |
|
| Ordinary nevus |
|
|
References
|
|
| PRKCB |
Protein kinase C beta |
|
| Clone (Vendor) |
Positive In |
Negative In |
|
Rabbit monoclonal F-7 (Santa Cruz)
Open Datasheet
|
Ewing sarcoma with EWSR1 rearrangement; normal post-germinal center B cells
|
Non-Ewing small round blue cell tumors, some Ewing sarcomas without EWSR1 rearrangement
|
Staining Pattern
Membranous and/or cytoplasmic
Decalcified Tissue Validated
Yes
Cell Block Validated
Yes
|
Images
| Ewing Sarcoma |
|
| Ewing Sarcoma |
|
|
References
|
|
| PRL |
Prolactin |
|
| Clone (Vendor) |
Positive In |
Negative In |
|
Rabbit polyclonal (Ventana)
Open Datasheet
|
--
|
--
|
Staining Pattern
--
Decalcified Tissue Validated
Yes
Cell Block Validated
No
|
Images
No Images Available
|
References
No References Available
|
|
| PROX1 |
PROX1 |
|
| Clone (Vendor) |
Positive In |
Negative In |
|
EPR19273 (Abcam)
Open Datasheet
|
--
|
--
|
Staining Pattern
--
Decalcified Tissue Validated
Yes
Cell Block Validated
No
|
Images
No Images Available
|
References
No References Available
|
|
| PSA |
PSA |
|
| Clone (Vendor) |
Positive In |
Negative In |
|
Rabbit polyclonal (Ventana)
Open Datasheet
|
--
|
--
|
Staining Pattern
--
Decalcified Tissue Validated
No
Cell Block Validated
No
|
Images
No Images Available
|
References
No References Available
|
|
| PSAP |
PSAP (PRAP) |
|
| Clone (Vendor) |
Positive In |
Negative In |
|
Mouse monoclonal PASE/4LJ (Ventana)
Open Datasheet
|
--
|
--
|
Staining Pattern
--
Decalcified Tissue Validated
No
Cell Block Validated
No
|
Images
No Images Available
|
References
No References Available
|
|
| PSMA |
PSMA |
|
| Clone (Vendor) |
Positive In |
Negative In |
|
Rabbit monoclonal EP192 (Ventana/Cell Marque)
Open Datasheet
|
--
|
--
|
Staining Pattern
cytoplasmic, membranous
Decalcified Tissue Validated
Yes
Cell Block Validated
Yes
|
Images
No Images Available
|
References
No References Available
|
|
| pTDP-43 |
Phospho-TDP-43 |
|
| Clone (Vendor) |
Positive In |
Negative In |
|
1D3
Open Datasheet
|
--
|
--
|
Staining Pattern
--
Decalcified Tissue Validated
No
Cell Block Validated
No
|
Images
No Images Available
|
References
No References Available
|
|
| PTEN |
Phosphatase and tensin homolog |
|
| Clone (Vendor) |
Positive In |
Negative In |
|
Rabbit monoclonal D4.3 XP (Cell Signaling Technology)
Open Datasheet
|
Normal tissues, tumors with wild-type PTEN
|
Tumors with PTEN mutation
|
Staining Pattern
Cytoplasmic +/- nuclear
Decalcified Tissue Validated
No
Cell Block Validated
No
|
Images
|
References
|
|
| PTH |
PTH |
|
| Clone (Vendor) |
Positive In |
Negative In |
|
Mouse monoclonal MRQ-31 (Ventana)
Open Datasheet
|
--
|
--
|
Staining Pattern
--
Decalcified Tissue Validated
No
Cell Block Validated
No
|
Images
No Images Available
|
References
No References Available
|
|
| PU.1 |
PU.1 |
|
| Clone (Vendor) |
Positive In |
Negative In |
|
Rabbit monoclonal EPR3158Y (Cell Marque)
Open Datasheet
|
--
|
--
|
Staining Pattern
--
Decalcified Tissue Validated
No
Cell Block Validated
No
|
Images
No Images Available
|
References
No References Available
|
|
| RB (4H1) |
RB |
|
| Clone (Vendor) |
Positive In |
Negative In |
|
Mouse monoclonal 4H1 (Cell Signaling)
Open Datasheet
|
--
|
--
|
Staining Pattern
--
Decalcified Tissue Validated
No
Cell Block Validated
No
|
Images
No Images Available
|
References
No References Available
|
|
| RCC |
RCC |
|
| Clone (Vendor) |
Positive In |
Negative In |
|
Mouse monoclonal PN-15 (Ventana)
Open Datasheet
|
--
|
--
|
Staining Pattern
--
Decalcified Tissue Validated
No
Cell Block Validated
No
|
Images
No Images Available
|
References
No References Available
|
|
| RD3 |
Tau3R |
|
| Clone (Vendor) |
Positive In |
Negative In |
|
Mouse monoclonal (8E6/C11)
Open Datasheet
|
Alzheimer’s Disease cases showed mixed 4R and 3R staining, and the PSP cases showed predominantly 4R staining
|
--
|
Staining Pattern
--
Decalcified Tissue Validated
No
Cell Block Validated
No
|
Images
| Progressive supranuclear palsy (PSP) with prominent corticospinal tract involvement |
|
|
References
|
|
| RD4 |
Tau4R |
|
| Clone (Vendor) |
Positive In |
Negative In |
|
1E1/A6
Open Datasheet
|
Alzheimer’s Disease cases showed mixed 4R and 3R staining, and the PSP cases showed predominantly 4R staining
|
--
|
Staining Pattern
--
Decalcified Tissue Validated
No
Cell Block Validated
No
|
Images
| Alzheimer’s disease neuropathologic change (ADNC) |
|
|
References
|
|
| ROS1 |
ROS1 |
|
| Clone (Vendor) |
Positive In |
Negative In |
|
Rabbit monoclonal SP384 (Ventana)
Open Datasheet
|
Tumors with ROS1 gene rearrangement, e.g. subset of Spitz nevi/tumors, lung adenocarcinomas, and inflammatory myofibroblastic tumors
|
--
|
Staining Pattern
Cytoplasmic
Decalcified Tissue Validated
No
Cell Block Validated
Yes
|
Images
| ROS1-rearranged Spitz nevus |
|
| ROS1-rearranged Spitz nevus |
|
| ROS1-rearranged lung adenocarcinoma |
|
| ROS1-rearranged IMT |
|
|
References
|
|
| S-MYOSIN |
Slow Myosin |
|
| Clone (Vendor) |
Positive In |
Negative In |
|
Mouse monoclonal NOQ7.5.4D (Sigma)
Open Datasheet
|
--
|
--
|
Staining Pattern
--
Decalcified Tissue Validated
No
Cell Block Validated
No
|
Images
No Images Available
|
References
No References Available
|
|
| S100 |
S100 |
|
| Clone (Vendor) |
Positive In |
Negative In |
|
Rabbit polyclonal (Dako)
Open Datasheet
|
--
|
--
|
Staining Pattern
--
Decalcified Tissue Validated
Yes
Cell Block Validated
Yes
|
Images
No Images Available
|
References
No References Available
|
|
| S100-A1 |
S100A1 |
|
| Clone (Vendor) |
Positive In |
Negative In |
|
Rabbit polyclonal (Sigma)
Open Datasheet
|
--
|
--
|
Staining Pattern
--
Decalcified Tissue Validated
No
Cell Block Validated
No
|
Images
No Images Available
|
References
No References Available
|
|
| SAA |
SAA |
|
| Clone (Vendor) |
Positive In |
Negative In |
|
Mouse monoclonal MC1 (Dako)
Open Datasheet
|
--
|
--
|
Staining Pattern
--
Decalcified Tissue Validated
No
Cell Block Validated
No
|
Images
| Conventional urothelial carcinoma (membranous) |
|
| Plasmacytoid urothelial carcinoma (cytoplasmic) |
|
| Plasmacytoid urothelial carcinoma (cytoplasmic) |
|
| Ductal carcinoma (membranous) |
|
| Lobular carcinoma (cytoplasmic) |
|
|
References
No References Available
|
|
| SALL4 |
Sall4 |
|
| Clone (Vendor) |
Positive In |
Negative In |
|
Rabbit Polyclonal (Abcam)
Open Datasheet
|
--
|
--
|
Staining Pattern
--
Decalcified Tissue Validated
No
Cell Block Validated
No
|
Images
No Images Available
|
References
No References Available
|
|
| SAP |
SAP (SLAM-associated protein) |
|
| Clone (Vendor) |
Positive In |
Negative In |
|
Rat monoclonal XLP 1D12 (Cell Signaling Technology)
Open Datasheet
|
Normal follicular helper T cells, angioimmunoblastic T-cell lymphoma (AITL), primary cutaneous CD4+ small/medium T-cell lymphoproliferative disorder, other lymphomas with T follicular helper (TFH) phenotype, T-ALL (70%)
|
--
|
Staining Pattern
Cytoplasmic +/- nuclear
Decalcified Tissue Validated
Yes
Cell Block Validated
No
|
Images
| AITL |
|
| Nodal peripheral T-cell lymphoma with TFH phenotype |
|
|
References
|
|
| SATB2 |
SATB2 |
|
| Clone (Vendor) |
Positive In |
Negative In |
|
Rabbit monoclonal EP281 (Cell Marque)
Open Datasheet
|
Colorectal and appendiceal carcinomas (to distinguish from ovarian mucinous carcinoma), tumors with osteoblastic differentiation, normal colon
|
--
|
Staining Pattern
Nuclear
Decalcified Tissue Validated
Yes
Cell Block Validated
No
|
Images
|
References
|
|
| SDHB |
SDHB |
|
| Clone (Vendor) |
Positive In |
Negative In |
|
Mouse monoclonal 21A11AE7 (Abcam)
Open Datasheet
|
--
|
--
|
Staining Pattern
--
Decalcified Tissue Validated
No
Cell Block Validated
No
|
Images
No Images Available
|
References
No References Available
|
|
| SF-1 |
Steroidogenic factor 1 |
|
| Clone (Vendor) |
Positive In |
Negative In |
|
Rabbit monoclonal (Abcam EPR19744)
Open Datasheet
|
Sex cord-stromal tumors, adrenocortical tumors, FSH/LH-expressing pituitary adenomas, normal steroid-producing cells (ovarian stroma, adrenal cortex, etc.)
|
--
|
Staining Pattern
Nuclear
Decalcified Tissue Validated
Yes
Cell Block Validated
No
|
Images
| Fibrothecoma |
|
| Adrenocortical adenoma (negative in adrenal medulla) |
|
| FSH-expressing pituitary adenoma |
|
|
References
|
|
| SM ACTIN |
Actin, Smooth Muscle |
|
| Clone (Vendor) |
Positive In |
Negative In |
|
Mouse monoclonal 1A4 (Ventana)
Open Datasheet
|
--
|
--
|
Staining Pattern
--
Decalcified Tissue Validated
No
Cell Block Validated
No
|
Images
No Images Available
|
References
No References Available
|
|
| SM MYOS |
Smooth Muscle Myosin |
|
| Clone (Vendor) |
Positive In |
Negative In |
|
Mouse monoclonal SMMS-1 (Ventana)
Open Datasheet
|
--
|
--
|
Staining Pattern
--
Decalcified Tissue Validated
No
Cell Block Validated
No
|
Images
No Images Available
|
References
No References Available
|
|
| SMAD4 |
SMAD4 (DPC4) |
|
| Clone (Vendor) |
Positive In |
Negative In |
|
Rabbit monoclonal EP618Y (Abcam)
Open Datasheet
|
LOSS OF EXPRESSION in 50-60% of pancreatic adenocarcinomas, 20-30% of colorectal adenocarcinomas, 10% of duodenal adenocarcinomas; small % of other carcinomas
|
--
|
Staining Pattern
Nuclear
Decalcified Tissue Validated
Yes
Cell Block Validated
Yes
|
Images
| Pancreatic adenocarcinoma (loss of SMAD4) |
|
| Colonic adenocarcinoma (retained SMAD4) |
|
| Duodenal adenocarcinoma (retained SMAD4) |
|
|
References
|
|
| SMARCA2 |
SMARCA2 (BRM) |
|
| Clone (Vendor) |
Positive In |
Negative In |
|
Rabbit monoclonal D9E8B (Cell Signaling)
Open Datasheet
|
--
|
SMARCA4-deficient tumors*; SMARCA2-deficient tumors with preserved SMARCA4 expression
|
Staining Pattern
Nuclear
Decalcified Tissue Validated
No
Cell Block Validated
No
|
Images
| SMARCA4-deficient sarcoma (imaged is SMARCA2) |
|
|
References
|
|
| SMARCA4 |
SMARCA4 (BRG1) |
|
| Clone (Vendor) |
Positive In |
Negative In |
|
Rabbit monoclonal EPNCIR111A (Abcam)
Open Datasheet
|
--
|
Loss of expression in tumors with inactivating SMARCA4 mutation, including SMARCA4-deficient thoracic sarcoma, small cell carcinoma of the ovary, hypercalcemic type, SMARCA4-deficient undifferentiated uterine sarcoma, SMARCA4-deficient sinonasal carcinoma
|
Staining Pattern
Nuclear (non-lesional cells)
Decalcified Tissue Validated
Yes
Cell Block Validated
No
|
Images
| SMARCA4 |
|
| SMARCA4 |
|
|
References
|
|
| SOX10 |
SOX-10 |
|
| Clone (Vendor) |
Positive In |
Negative In |
|
|
Rabbit monoclonal SP267 (Ventana)
|
--
|
--
|
Staining Pattern
--
Decalcified Tissue Validated
No
Cell Block Validated
No
|
Images
No Images Available
|
References
No References Available
|
|
| SOX11 |
SOX11 |
|
| Clone (Vendor) |
Positive In |
Negative In |
|
Mouse monoclonal MRQ-58 (Ventana)
Open Datasheet
|
--
|
--
|
Staining Pattern
--
Decalcified Tissue Validated
Yes
Cell Block Validated
No
|
Images
No Images Available
|
References
No References Available
|
|
| Sox17 |
Sox17 |
|
| Clone (Vendor) |
Positive In |
Negative In |
|
Rabbit monoclonal EPR20684 (Abcam)
Open Datasheet
|
Most carcinomas of Mullerian origin, classic epithelioid sarcoma, normal glandular elements in gynecologic tract, and normal endothelial cells
|
Renal cell carcinoma, other non-Mullerian carcinomas, mucinous carcinoma, mesonephric-like adenocarcinoma
|
Staining Pattern
Nuclear
Decalcified Tissue Validated
No
Cell Block Validated
Yes
|
Images
| Ovarian carcinoma (endometrioid) |
|
| Endometrial carcinoma (clear cell) |
|
| Endometrial carcinoma (clear cell) |
|
| Clear cell renal cell carcinoma (positivity in endothelial cells) |
|
|
References
|
|
| SOX2 |
SOX2 |
|
| Clone (Vendor) |
Positive In |
Negative In |
|
Rabbit polyclonal (Abcam)
Open Datasheet
|
SMARCA4-deficient thoracic sarcomatoid tumor, embryonal carcinoma, teratoma (subset), squamous cell carcinoma (subset)
|
--
|
Staining Pattern
Nuclear
Decalcified Tissue Validated
No
Cell Block Validated
Yes
|
Images
|
References
|
|
| SPEC |
Spectrin *Not available as Tech Only* |
|
| Clone (Vendor) |
Positive In |
Negative In |
|
Mouse monoclonal RBC2/3D5 (Cell Marque)
Open Datasheet
|
--
|
--
|
Staining Pattern
--
Decalcified Tissue Validated
No
Cell Block Validated
No
|
Images
No Images Available
|
References
No References Available
|
|
| SPIRO |
Spirochete |
|
| Clone (Vendor) |
Positive In |
Negative In |
|
Rabbit polyclonal (BioCare)
Open Datasheet
|
--
|
--
|
Staining Pattern
--
Decalcified Tissue Validated
No
Cell Block Validated
No
|
Images
No Images Available
|
References
No References Available
|
|
| SS18-SSX |
SS18-SSX |
|
| Clone (Vendor) |
Positive In |
Negative In |
|
Rabbit monoclonal E9X9V (Cell Signaling Technology)v
Open Datasheet
|
Synovial sarcoma
|
All other tumors
|
Staining Pattern
Nuclear
Decalcified Tissue Validated
Yes
Cell Block Validated
Yes
|
Images
| Synovial Sarcoma |
|
| Synovial Sarcoma |
|
|
References
|
|
| SSTR2A |
Somatostatin receptor 2A |
|
| Clone (Vendor) |
Positive In |
Negative In |
|
Rabbit monoclonal UMB1 (Abcam)
Open Datasheet
|
Meningioma, phosphaturic mesenchymal tumor, neuroendocrine tumors, follicular dendritic cells and FDC sarcoma
|
|
Staining Pattern
Membranous and/or cytoplasmic
Decalcified Tissue Validated
Yes
Cell Block Validated
Yes
|
Images
| Meningioma |
|
| Phosphaturic mesenchymal tumor |
|
| Pancreatic neuroendocrine tumor |
|
|
References
|
|
| SSX |
SSX (SSX C-terminus) |
|
| Clone (Vendor) |
Positive In |
Negative In |
|
Rabbit monoclonal E5A2C (Cell Signaling)
Open Datasheet
|
Synovial sarcoma
|
Most other sarcomas and sarcomatoid carcinomas (see attached reference)
|
Staining Pattern
Nuclear
Decalcified Tissue Validated
No
Cell Block Validated
No
|
Images
| Synovial sarcoma |
|
| Synovial sarcoma |
|
|
References
|
|
| STAT6 |
STAT6 |
|
| Clone (Vendor) |
Positive In |
Negative In |
|
Rabbit monoclonal EP325 (Cell Marque)
Open Datasheet
|
--
|
--
|
Staining Pattern
--
Decalcified Tissue Validated
No
Cell Block Validated
No
|
Images
No Images Available
|
References
No References Available
|
|
| SV40 |
SV40 |
|
| Clone (Vendor) |
Positive In |
Negative In |
|
Mouse monoclonal MRQ-4 (Cell Marque)
Open Datasheet
|
--
|
--
|
Staining Pattern
--
Decalcified Tissue Validated
No
Cell Block Validated
No
|
Images
No Images Available
|
References
No References Available
|
|
| SYNAPAP |
Synaptophysin AP |
|
| Clone (Vendor) |
Positive In |
Negative In |
|
Rabbit monoclonal SP11 (Ventana)
Open Datasheet
|
--
|
--
|
Staining Pattern
--
Decalcified Tissue Validated
No
Cell Block Validated
No
|
Images
No Images Available
|
References
No References Available
|
|
| SYNAPNP |
Synaptophysin NP |
|
| Clone (Vendor) |
Positive In |
Negative In |
|
Rabbit monoclonal SP11 (Ventana)
Open Datasheet
|
--
|
--
|
Staining Pattern
--
Decalcified Tissue Validated
No
Cell Block Validated
No
|
Images
No Images Available
|
References
No References Available
|
|
| SYNUC |
Alpha Synuclein |
|
| Clone (Vendor) |
Positive In |
Negative In |
|
Mouse monoclonal LB509 (Thermo)
Open Datasheet
|
--
|
--
|
Staining Pattern
--
Decalcified Tissue Validated
No
Cell Block Validated
No
|
Images
No Images Available
|
References
No References Available
|
|
| TAU |
Tau |
|
| Clone (Vendor) |
Positive In |
Negative In |
|
Mouse monoclonal AT8 (ThermoFisher)
Open Datasheet
|
--
|
--
|
Staining Pattern
--
Decalcified Tissue Validated
No
Cell Block Validated
No
|
Images
No Images Available
|
References
No References Available
|
|
| TCL1 |
TCL1 |
|
| Clone (Vendor) |
Positive In |
Negative In |
|
Mouse monoclonal 1-21 (Santa Cruz)
Open Datasheet
|
--
|
--
|
Staining Pattern
--
Decalcified Tissue Validated
Yes
Cell Block Validated
No
|
Images
No Images Available
|
References
No References Available
|
|
| TCR delta |
TCR delta |
|
| Clone (Vendor) |
Positive In |
Negative In |
|
Mouse monoclonal H-41
Open Datasheet
|
Normal gamma/delta T cells; gamma/delta T-cell lymphoma
|
--
|
Staining Pattern
Cytoplasmic
Decalcified Tissue Validated
Yes
Cell Block Validated
No
|
Images
| TCRdelta |
|
| TCRdelta |
|
|
References
|
|
| TCRBF1 |
TCRBF1 |
|
| Clone (Vendor) |
Positive In |
Negative In |
|
Mouse monoclonal 8A3 (Thermo/Invitrogen)
Open Datasheet
|
--
|
--
|
Staining Pattern
--
Decalcified Tissue Validated
No
Cell Block Validated
No
|
Images
No Images Available
|
References
No References Available
|
|
| TDP-43 |
TDP-43 |
|
| Clone (Vendor) |
Positive In |
Negative In |
|
Rabbit Polyclonal (Protein Tech)
Open Datasheet
|
--
|
--
|
Staining Pattern
--
Decalcified Tissue Validated
No
Cell Block Validated
No
|
Images
No Images Available
|
References
No References Available
|
|
| TDT |
Terminal deoxynucleotidyl transferase (TdT) |
|
| Clone (Vendor) |
Positive In |
Negative In |
|
Rabbit polyclonal (Cell Marque)
Open Datasheet
|
Lymphoblastic leukemia/lymphoma, thymocytes
|
--
|
Staining Pattern
Nuclear
Decalcified Tissue Validated
Yes
Cell Block Validated
No
|
Images
| Thymoma |
|
| Thymus |
|
| B-lymphoblastic leukemia |
|
|
References
|
|
| TFE3 |
TFE3 IHC *Not available as Tech Only* |
|
| Clone (Vendor) |
Positive In |
Negative In |
|
|
MRQ-37
|
--
|
--
|
Staining Pattern
Nuclear
Decalcified Tissue Validated
Yes
Cell Block Validated
No
|
Images
No Images Available
|
References
No References Available
|
|
| TGB |
Thyroglobulin |
|
| Clone (Vendor) |
Positive In |
Negative In |
|
Mouse monoclonal 2H11+6E1 (Ventana)
Open Datasheet
|
--
|
--
|
Staining Pattern
--
Decalcified Tissue Validated
No
Cell Block Validated
No
|
Images
No Images Available
|
References
No References Available
|
|
| TIA1 |
TIA-1 |
|
| Clone (Vendor) |
Positive In |
Negative In |
|
Mouse monoclonal TIA-1 (BioCare)
Open Datasheet
|
--
|
--
|
Staining Pattern
--
Decalcified Tissue Validated
No
Cell Block Validated
No
|
Images
No Images Available
|
References
No References Available
|
|
| TLE-1 |
TLE-1 |
|
| Clone (Vendor) |
Positive In |
Negative In |
|
Mouse monoclonal IF5 (Cell Marque)
Open Datasheet
|
--
|
--
|
Staining Pattern
--
Decalcified Tissue Validated
No
Cell Block Validated
No
|
Images
No Images Available
|
References
No References Available
|
|
| TOXO |
Toxoplasma |
|
| Clone (Vendor) |
Positive In |
Negative In |
|
Rabbit polyclonal (Cell Marque)
Open Datasheet
|
--
|
--
|
Staining Pattern
--
Decalcified Tissue Validated
No
Cell Block Validated
No
|
Images
No Images Available
|
References
No References Available
|
|
| TPIT |
TPIT |
|
| Clone (Vendor) |
Positive In |
Negative In |
|
Mouse monoclonal CL6251 (Abcam)
Open Datasheet
|
Corticotroph adenoma; normal corticotropes
|
Somatotropes, lactotropes, thyrotropes, and corresponding adenomas
|
Staining Pattern
Nuclear
Decalcified Tissue Validated
Yes
Cell Block Validated
No
|
Images
| ACTH+ adenoma |
|
| GH+ adenoma |
|
|
References
|
|
| TRPS1 |
TRPS1 (Trichorhinophalangeal syndrome type 1) |
|
| Clone (Vendor) |
Positive In |
Negative In |
|
Rabbit polyclonal (Thermo Fisher)
Open Datasheet
|
Most breast carcinomas (including triple-negative), normal breast ductal cells
|
Most urothelial carcinomas, other non-mammary carcinomas, and melanomas
|
Staining Pattern
Nuclear
Decalcified Tissue Validated
Yes
Cell Block Validated
Yes
|
Images
| Triple-negative breast carcinoma |
|
| Breast carcinoma (normal breast duct on the left) |
|
|
References
|
|
| TRYPSIN |
Trypsin |
|
| Clone (Vendor) |
Positive In |
Negative In |
|
Mouse monoclonal EPR19498 (Abcam)
Open Datasheet
|
--
|
--
|
Staining Pattern
--
Decalcified Tissue Validated
No
Cell Block Validated
No
|
Images
No Images Available
|
References
No References Available
|
|
| TSH |
TSH |
|
| Clone (Vendor) |
Positive In |
Negative In |
|
Rabbit polyclonal (Ventana)
Open Datasheet
|
--
|
--
|
Staining Pattern
--
Decalcified Tissue Validated
Yes
Cell Block Validated
No
|
Images
No Images Available
|
References
No References Available
|
|
| TTF1 |
TTF1 |
|
| Clone (Vendor) |
Positive In |
Negative In |
|
Mouse monoclonal 8G7G3/1 (Cell Marque)
Open Datasheet
|
--
|
--
|
Staining Pattern
--
Decalcified Tissue Validated
No
Cell Block Validated
No
|
Images
No Images Available
|
References
No References Available
|
|
| TYROS |
Tyrosinase |
|
| Clone (Vendor) |
Positive In |
Negative In |
|
Mouse monoclonal T311 (Cell Marque)
Open Datasheet
|
--
|
--
|
Staining Pattern
--
Decalcified Tissue Validated
No
Cell Block Validated
No
|
Images
No Images Available
|
References
No References Available
|
|
| UBIQ |
Ubiquitin |
|
| Clone (Vendor) |
Positive In |
Negative In |
|
Rabbit monoclonal EPR8830 (Abcam)
Open Datasheet
|
--
|
--
|
Staining Pattern
--
Decalcified Tissue Validated
No
Cell Block Validated
No
|
Images
No Images Available
|
References
No References Available
|
|
| VIM |
Vimentin |
|
| Clone (Vendor) |
Positive In |
Negative In |
|
Mouse monoclonal V9 (Ventana)
Open Datasheet
|
--
|
--
|
Staining Pattern
--
Decalcified Tissue Validated
No
Cell Block Validated
No
|
Images
No Images Available
|
References
No References Available
|
|
| VZV |
VZV |
|
| Clone (Vendor) |
Positive In |
Negative In |
|
Mouse monoclonal SG1-1, SG1-SG4, NCP-1 & IE-62 (Cell Marque)
Open Datasheet
|
Cells infected with varicella zoster virus, such as seen in chickenpox and shingles
|
--
|
Staining Pattern
Membranous and/or cytoplasmic
Decalcified Tissue Validated
No
Cell Block Validated
No
|
Images
| Herpes zoster (shingles) |
|
| Herpes zoster (shingles) |
|
|
References
|
|
| WT1 |
WT1 |
|
| Clone (Vendor) |
Positive In |
Negative In |
|
Mouse monoclonal 6F-H2 (Ventana)
Open Datasheet
|
--
|
--
|
Staining Pattern
--
Decalcified Tissue Validated
No
Cell Block Validated
No
|
Images
No Images Available
|
References
No References Available
|
|
| YAP1 |
YAP1 C-terminus |
|
| Clone (Vendor) |
Positive In |
Negative In |
|
Rabbit monoclonal D8H1X (Cell Signaling)
Open Datasheet
|
LOSS of expression in: Tumors with YAP1 translocation resulting in loss of C-terminus, including subset of poroma, poroid hidradenoma, porocarcinoma; subset of epithelioid, retiform, and composite hemangioendotheliomas
|
--
|
Staining Pattern
Nuclear and/or cytoplasmic (non-lesional cells)
Decalcified Tissue Validated
No
Cell Block Validated
No
|
Images
| Poroma |
|
| Poroma |
|
|
References
|
|